(openPR) Osterholz-Scharmbeck, den 22.09.2014: Aphthen sind kleine, entzündete Bereiche im Mund, die häufig als äußerst schmerzhaft empfunden werden. Sie treten hauptsächlich an der Wangenschleimhaut auf, können aber auch die Zunge, den Gaumen, das Zahnfleisch befallen.
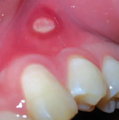
Aphthen haben ein typisches Aussehen, wodurch uns die Diagnose relativ einfach fällt: kleine, gelb-weißliche Stippen oder Bläschen auf hochrotem Untergrund, der sich ringförmig um die weiße Mitte zieht. Ihre Größe schwankt von 1 bis zu 30 mm.
Zum ersten Mal erkranken meistens schon Kinder an den äußerst schmerzhaften Aphthen. Oftmals treten Aphthen allerdings immer wiederkehrend auf, so dass wir in diesem Fall von einem chronischen Befall sprechen. Häufig treten diese Aphthen in der ganzen Familie auf.
Bis heute ist leider nicht geklärt, welche Ursachen zu der Aphthenbildung führen können.
Wir gehen davon aus, dass Faktoren wie z.B. Stress, Depressionen, Schlafmangel, Überarbeitung, Krankheiten, schlechte Immunlage (z.B. nach einer Grippe), Krankenhausaufenthalte die Bildung von Aphthen begünstigen können.
Mechanische Belastungen im Mund selbst, wie sie durch Zahnspangen oder spitze Zähne entstehen, führen zu kleinen Verletzungen der Mundschleimhaut. Diese wunden Stellen sind dann anfällig für die Entstehung einer Aphthe. Auch nach leichten Verbrennungen durch Lebensmittel - wie der heisse Käse auf Ihrer Pizza - treten Aphthen vermehrt auf.
Diese Aphthen kommen plötzlich. Den Betroffenen fallen meist zuerst die äußerst starken Schmerzen auf, die das Essen und Schlucken, zum Teil auch das Sprechen sehr beeinträchtigen. Zusätzlich können Aphthen jucken und brennen.
Schauen Sie in den Spiegel lassen sich die Aphthen durch ihr typisches Aussehen schnell als Aphthen identifizieren: eine linsenkern-große (meist 1 - 5mm) kleine, weiße oder gelbliche Stelle oder Bläschen, umgeben von einem stark geröteten Hof.
Normalerweise treten Aphthen vereinzelt auf, manchmal sind auch zwei bis drei gleichzeitig vorhanden. Ob mit oder ohne unsere Therapie: Aphthen verschwinden nach ein bis zwei Wochen von allein.
Bisher ist es nicht gelungen, ein wirksames Medikament gegen alle Aphthen zu finden. In sehr schweren Fällen, kann eine Kortisonsalbe helfen, die Entzündung abzuschwächen.
Trotzdem können Sie versuchen, die Symptome, also den Schmerz und die umgebende Entzündung zu mindern. Zur Schmerzlinderung eignen sich besonders gut Salben oder Sprays, die auf der Wunde haften. Ihr Apotheker hat eine breite Palette an möglichen Produkten und berät Sie, welches Medikament sich für Ihren Fall empfiehlt. Durch diese Salben können zwar die Schmerzen etwas unterdrückt werden, es kommt aber nicht zu einer schnelleren Abheilung der Aphthe. Als Hausmittel wird Teebaumöl wird von vielen unserer Patienten oft mit guten Erfolgen zur Schmerzlinderung auf die Aphthe geträufelt, ebenso wirkt Kamillen- oder Salbeitee.
Auch wenn Aphthen äußerst unangenehm für Sie sein können: Sie sind nicht gefährlich, nicht ansteckend und verschwinden auch wieder.Trotzdem sollten Sie ein häufiges Auftreten von Ihrem Hausarzt abklären lassen, da sie manchmal auch ein Zeichen einer ganz anderen Krankheit sein können. Sind Sie regelmäßig von den schmerzhaften Aphthen betroffen und es findet sich keine ursächliche Krankheit, ist es ratsam, sich Gedanken, um eine gesündere Lebensweise zu machen. Eine ausgewogene Ernährung beugt Mangelzuständen an Nährstoffen vor und hilft, ein kräftiges Immunsystem aufzubauen. Stress, psychische Belastungen und Schlafmangel sollten vermieden werden. Rauchen schwächt das Immunsystem und kann die Heilung der Aphthen verlangsamen.
Es ist sinnvoll, auf eine gute Mundhygiene zu achten: durch Reduktion der Bakterienlast im Mund kann die oftmals begleitende Entzündung verringert werden.











