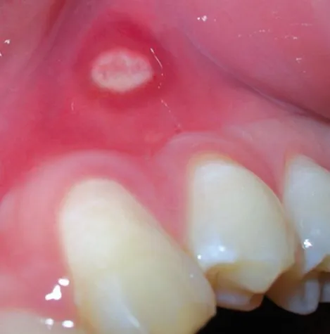
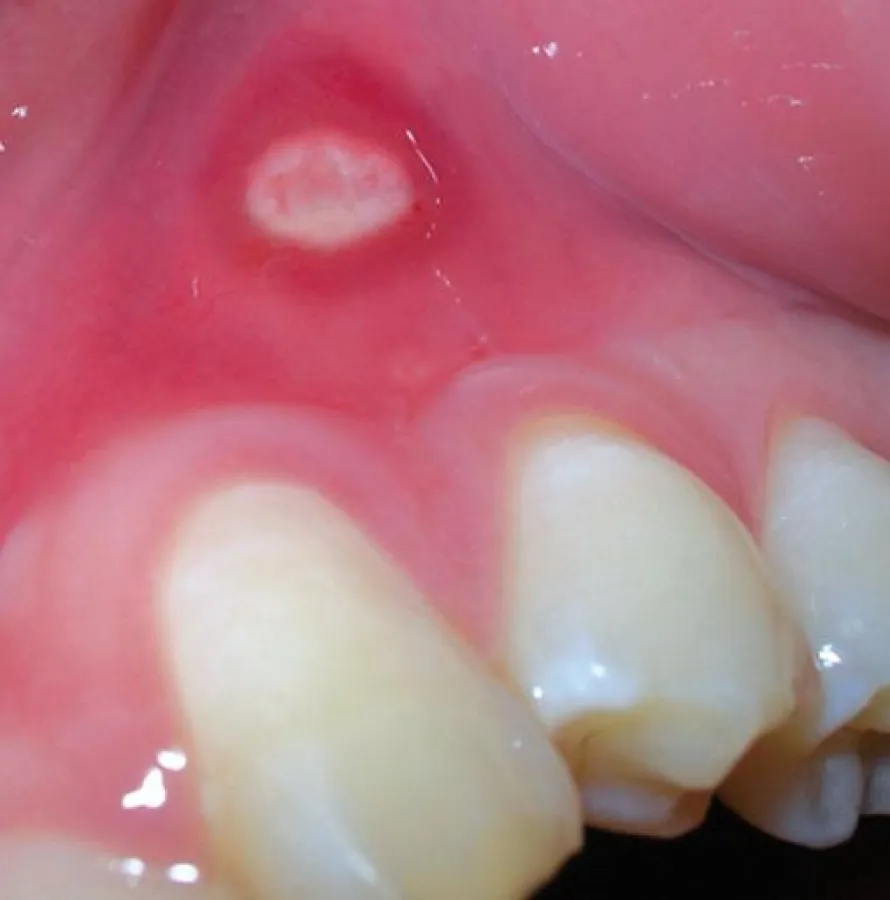
(openPR) Eine Aphthe ist eine schmerzhafte, von einem entzündlichen Randsaum umgebene Erosion der Schleimhaut des Zahnfleisches, der Mundhöhle, der Tonsillen oder der Zunge und in Einzelfällen auch anderer Schleimhäute, z.B. im Genitalbereich. Es handelt sich dabei um ein Ulcus mit weißlichem Fibrinbelag. Beim gleichzeitigen Auftreten mehrerer solcher Stellen im Rahmen einer Primärinfektion durch das Herpes-simplex-Virus spricht man vom Krankheitsbild der Mundfäule (Stomatitis aphthosa oder Gingivostomatitis herpetica). Treten Aphthen häufig wiederkehrend auf, spricht man von chronisch rezidivierender Aphthose.
Jedes Jahr erkranken ärztlichen Schätzungen zufolge in Deutschland 250.000 Menschen an Aphthen. In der Regel verschwinden die kleinen Plagegeister nach etwa zehn bis 14 Tagen ebenso unerklärlich, wie sie aufgetaucht sind. Bei jedem Zehnten aber kehren sie nach der ersten Erkrankung in unregelmäßigen Abständen immer wieder. Ärzte sprechen in diesem Fall von chronisch rezidivierenden Aphthen oder Stomatitis aphtosa, von denen in Deutschland zur Zeit etwa 1.000.000 Menschen betroffen sind. Bis heute ist nicht eindeutig geklärt, um was es sich bei den Aphthen handelt bzw. was sie auslöst.
Eine Behandlung von Aphthen ist in der Regel nicht notwendig. Gegen die Schmerzen helfen Lokalanästhetika oder schmerzstillende Lutschtabletten.
Im Fall von chronisch rezidivierenden Aphthen oder Stomatitis aphtosa steht eine medizinische Zahncreme zur Verfügung, die prophylaktisch gegen das Auftreten von Aphthen wirkt. Weitere Informationen hierzu finden Sie auf der Internetseite www.sinaftin.de.









