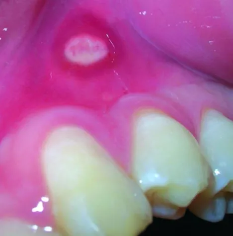
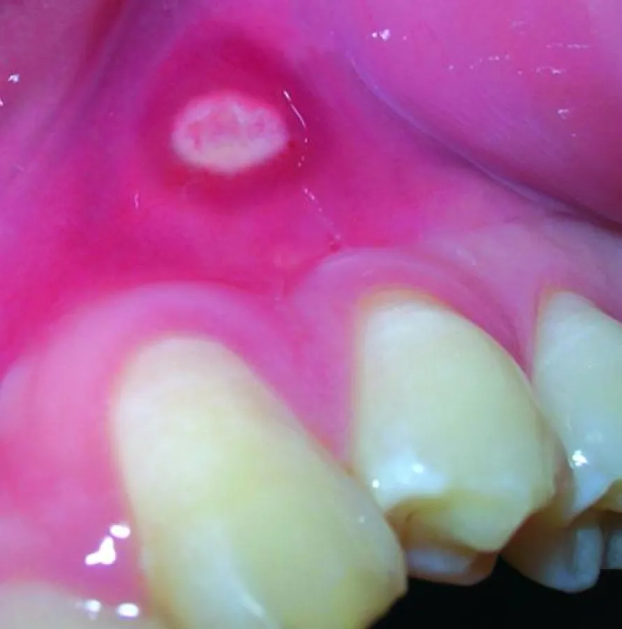
(openPR) Endlich gibt es auch in Deutschland ein effektives Mittel zur akuten und prophylaktischen Behandlung von chronisch rezividierenden Aphthen und Stomatitis aphthosa. Jeder vierte Deutsche macht zumindest einmal in seinem Leben die schmerzhafte Bekanntschaft mit Aphthen, diesen kleinen weißen Flecken im Mundraum, die die Nahrungsaufnahme -manchmal sogar das Sprechen- zu einer unangenehmen Sache werden lassen. Meist verschwinden die kleinen Plagegeister nach etwa 10 Tagen so unerklärlich, wie sie gekommen sind. In jedem 10ten Fall aber werden Aphthen zu einem chronischen Leiden. Hinter diesen rein statistischen Daten verbergen sich jährlich etwa 250.000 neu betroffene Patienten, die unter chronisch rezividierenden Aphthen leiden und denen bisher meist nur durch den Einsatz cortisonhaltiger Präparate Linderung verschafft werden konnte. Nun kommt aus Schweden ein neues und rein pflanzliches Mittel: Sinaftin®. Das Therapeutikum Sinaftin® ist das Resultat achtjähriger intensiver Forschungsarbeit. Fünf Jahre klinische Untersuchungen an der Universitätszahnklinik in Göteborg unter Leitung von Prof. Dr. Mats Jontell haben ein wirksames Mittel gegen chronisch rezividierende Aphthen und Stomatitis aphthosa hervorgebracht. Sinaftin® wurde bereits 2004 auf der Swedental, Skandinaviens größter Dentalmesse, vorgestellt. Das Therapeutikum wird heute von der schwedischen Zahnärzteschaft und den Betroffenen empfohlen und entwickelt sich in Schweden zur Standardtherapie bei rezividierenden Aphthen. Nun steht Sinaftin® endlich auch Betroffenen in Deutschland zur Verfügung. Die patentierte Zusammensetzung, die ohne chemische Zusätze auskommt, bietet eine echte Alternative zur Behandlung mit Cortison oder chirurgischem Eingriff. Eine umfassende Doppelblindstudie mit Placebokontrolle zeigte, dass 51% der Patienten nach Behandlung mit Sinaftin® vollkommen beschwerdefrei waren, bei weiteren 20% wurde eine wesentliche Verbesserung festgestellt. Anteil an diesem Erfolg hat sicher auch die einfache Applikation von Sinaftin: sie wird vom Betroffenen einfach an Stelle der Zahnpasta verwendet. Wie bekannt, haben sich auch andere Zahnpasten bei manchen Patienten als bedingt wirksam gegen Aphthen erwiesen, die genauen Ursachen blieben jedoch weitgehend unbekannt. Ein wichtiges Ziel der Forschung war es daher, die Wirkstoffe und Wechselwirkungen bestimmen zu können, die den Heilungsprozess von Aphthen beschleunigen und deren Neuentstehung verhindern. Im Gegensatz zu herkömmlichen Zahnpasten enthält Sinaftin® auch kein Natriumlaurylsulfat, da die klinischen Untersuchungen hier eine eindeutig negative Beeinflussung des Heilungsprozesses erwiesen haben. Sinaftin® verhindert die Bildung von Plaque und soll, wie jede Zahnpasta, mindestens zweimal täglich, morgens und abends, verwendet werden. Bei regelmäßiger Anwendung verschwinden bereits vorhandene Aphthen und deren erneutes Entstehen wird verhindert. Zur Behandlung akuter Aphthen sollte Sinaftin® mit einem Wattestäbchen mehrmals täglich auf die Aphthe aufgetragen werden. Sinaftin® ist darüber hinaus auch hervorragend geeignet für Patienten mit empfindlichen Zahnhälsen. Dank der einzigartigen Zusammensetzung werden die Dentinkanäle für äußere Reize blockiert und das Schmerzempfinden verschwindet. Die Forschungsergebnisse der Studie „The Effect of a Dentifrice in the Prevention of Recurrent Aphthous Stomatitis“ können interessierte Ärzte und Heilpraktiker auf der Internetseite des Anbieters herunterladen (www.sinaftin.de). Dort finden Sie auch weitere Informationen.











