(openPR) Wieso verbessert sich Endometriose in der Schwangerschaft? Wissenschaftler des Inselspitals, HCERM Rom und BioIncept haben in der Antwort auf diese Frage neues Potenzial zur Behandlung und Prävention von Endometriose entdeckt.
---
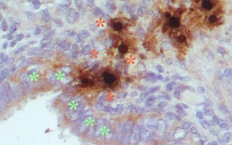
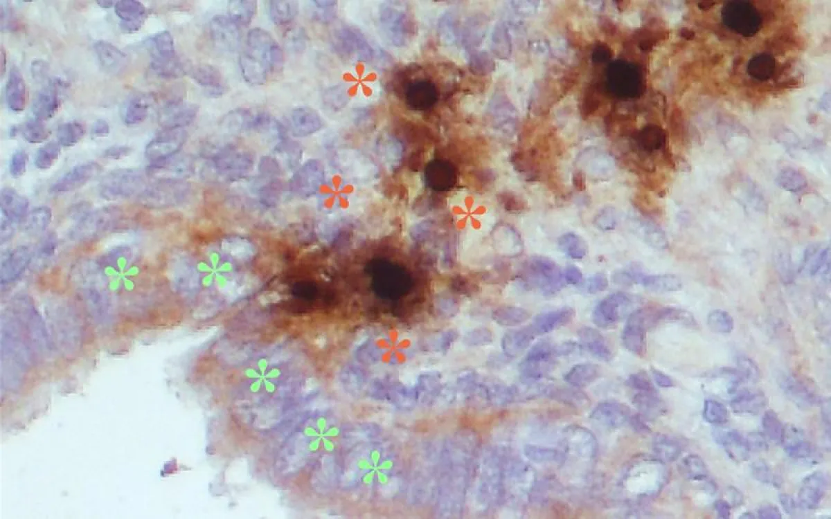
Während der Schwangerschaft wird eine Endometriose häufig besser. Denn ein Molekül (PreImplantation Factor: PIF), welches der Embryo produziert, lindert die Entzündungsherde der Krankheit. Der Effekt lässt sich auch mit einer synthetischen Variante von PIF reproduzieren, wie ein wissenschaftliches Team aus Bern und Rom sowie BioIncept (New York) am 13. September 2017 in PLOS One zeigen konnte. Die Studienergebnisse lassen auf die Entwicklung neuer Medikamente hoffen, welche Endometriose behandeln oder sogar vermeiden könnten.
Die Entzündung an der Wurzel packen
«Weil PIF mit wichtigen Enzündungszellen interagiert, könnten wir damit erstmals die Entzündungsreaktionen der Endometriose beeinflussen» erklärt PD Dr. Dr. med. Martin Müller, Leitender Arzt der Universitätsklinik für Frauenheilkunde Bern und Visiting Assistant Professor der Yale School of Medicine. Erstautor Marco Sbracia aus dem Hungaria Center for Endocrinology and Reproductive Medicine (HCERM) in Rom geht sogar noch weiter: «Es gibt Hinweise darauf, dass PIF vor dem Ausbruch der Entzündung schützen kann.»
In der Studie konnten Müller und das Team zeigen, dass PIF die Entzündungsreaktion beeinflusst und je nach Umfeld die Endometriosezellen absterben. Damit kann das Molekül potenziell sowohl in der Diagnostik als auch in der Therapie von Endometriose eingesetzt werden. «Wir möchten diesen neuen Ansatz weiter verfolgen, die Entzündungen, die der Ursprung der Endometriose sind, an der Wurzel zu packen», sagt Prof. Dr. med. Michael Mueller, Chefarzt Gynäkologie und gynäkologische Onkologie an der Frauenklinik in Bern.
Ein Schwangerschaftsmolekül als Medikament
PIF wurde entdeckt und klassifiziert von Eytan Barnea, Gründer der Society for the Investigation of Early Pregnancy (SIEP) und Wissenschaftler der Firma BioIncept, LLC. Nach der Zulassung durch die Federal Drug Administration (FDA) konnte das synthetisch hergestellte Molekül in den USA bereits erfolgreich in einer ersten klinischen Studie zur Autoimmunhepatitis getestet werden. In Bern evaluieren die Forscher nun, ob eine klinische Studie bei Endometriose möglich ist. Auch eine potentielle Anwendung zur Vermeidung von Frühgeburten wird geprüft.
______
Acht bis zehn Jahre dauert es im Schnitt, bis Endometriose erkannt wird. Die fortschreitende chronische Krankheit betrifft rund zehn Prozent aller Frauen im gebärfähigen Alter. Neben starken Schmerzen während der Periode können die Entzündungen im Bauchraum auch Unfruchtbarkeit hervorrufen. Trotzdem erdulden vielen Frauen die Erkrankung zunächst als «normale Menstruationsbeschwerden». Erst wenn die Schmerzen nicht mehr auszuhalten sind, erfolgt die Diagnose. «In diesem Stadium sind minimalinvasive Operationen meist die beste Methode, Beschwerdefreiheit zu erzielen», sagt Michael Mueller, Endometriose-Spezialist und Chefarzt Gynäkologie an der Universitätsklinik für Frauenheilkunde am Berner Inselspital.
Im Endometriosezentrum der Frauenklinik Inselspital betreut ein Team aus Ärztinnen, Ärzten und speziell geschulten Endometriose-Nurses pro Jahr mehr als 200 Patientinnen. Seit über fünfzehn Jahren wird die Krankheit hier erforscht. Denn aktuell kommt neben der Operation v.a. eine hormonelle Behandlung in Frage. Die Entwicklung von Medikamenten, welche die Entzündung stoppen, ohne in den Hormonhaushalt der Frau einzugreifen, ist daher ein grosses Anliegen.
Anlässlich des Endometriose-Tags vom 29. September möchte die Universitätsklinik für Frauenheilkunde am Inselspital für das immer noch unterschätzte Krankheitsbild sensibilisieren und besonders die Wichtigkeit der Erforschung neuer Therapieoptionen unterstreichen.
Kontakt:
PD Dr. Dr. med. Martin Müller, Leitender Arzt, Universitätsklinik für Frauenheilkunde, Inselspital Bern,
Weitere Informationen:
- http://journals.plos.org/plosone/article?id=10.1371/journal.pone.0184399
- http://www.frauenheilkunde.insel.ch/de/unser-angebot/gynaekologie/endometriosezentrum-bern/
Quelle: idw












