openPR Recherche & Suche
Presseinformation

Studie belegt Zuverlässigkeit von automatisiertem Biomarker in der Diagnostik von Morbus Alzheimer

20.10.201418:27 UhrGesundheit & Medizin

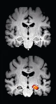
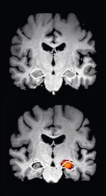
(openPR) Die Diagnostik der Alzheimererkrankung ist eine aufwändige Prozedur, da viele Alzheimer-typische Symptome auch anderen Erkrankungen zugeordnet werden können. Das Ausschlussverfahren hierzu ist für Ärzte aufwändig und für Patienten mühselig und belastend. Eine neue Studie belegt eindrucksvoll, dass die automatisierte Hippokampusvolumetrie eine signifikante Aussagekraft bei der Diagnose der Erkrankung hat.

Obwohl bereits als Diagnosemerkmal in den europäischen Leitlinien enthalten, konnte die Hippokampusvolumetrie bisher nur in wenigen, meistens akademischen Zentren durchgeführt werden. Wichtige Voraussetzung zur Anwendung des Verfahrens war das tiefgehende Anwendungswissen, technologische Kompetenz und die Erfahrung des befundenden Arztes. Seit der Einrichtung von Referenzzentren vor zwei Jahren wurde das Verfahren der automatischen Hippokampusvolumetrie kontinuierlich weiterentwickelt und überprüft. Das Ergebnis dieser Forschungsarbeit liegt nun vor. Ab sofort gibt es die Möglichkeit, mit frei verfügbaren Analysetools eine vollautomatische, computergestützte Hippokampusvolumetrie vorzunehmen. Deren Zuverlässigkeit wurde in einer Studie belegt und liegt bei einer Genauigkeit von 80%.

In der Studie wurde für 100 Gedächtnisambulanz-Patienten das Hippokampusvolumen mit dem frei verfügbaren Tool bestimmt und mit den Ergebnissen der klinischen Untersuchung verglichen.

Es zeigte sich, dass das Volumen des rechten Hippokampus ein zuverlässiger Parameter ist, Patienten mit einer Alzheimer-Erkrankung in einer Population von Menschen mit Gedächtnisstörungen zu identifizieren. Dabei belief sich die Dauer der vollautomatischen Berechnung des Hippokampusvolumens auf etwa vier Minuten. Damit kann mit einfachen Mitteln ein weiteres wichtiges Merkmal in den Diagnoseprozess eingebracht werden und die Sicherheit der Alzheimer-Diagnose erhöhen.

Dr. Lothar Spies, Geschäftsführer von jung diagnostics GmbH: „Damit ist der breite Einsatz des automatisierten Biomarkers reif für die Klinikroutine“. Die notwendigen Tools können von der Seite der Firma jung diagnostics GmbH kostenlos heruntergeladen oder die Berechnung durch die Firma im Rahmen einer Dienstleistung übernommen werden. Der Link ist: http://www.jung-diagnostics.de/deu/tools.php

Die Firma jung diagnostics aus Hamburg hat das Verfahren, auf dem die vollautomatisierte Auswertung beruht, in enger Zusammenarbeit mit universitären Zentren entwickelt und als Medizinprodukt zertifiziert.

Diese Pressemeldung wurde auf openPR veröffentlicht.

Verantwortlich für diese Pressemeldung:

News-ID: 821893
 71

Kostenlose Online PR für alle

Jetzt Ihren Pressetext mit einem Klick auf openPR veröffentlichen

Jetzt gratis starten

Pressebericht „Studie belegt Zuverlässigkeit von automatisiertem Biomarker in der Diagnostik von Morbus Alzheimer“ bearbeiten oder mit dem "Super-PR-Sparpaket" stark hervorheben, zielgerichtet an Journalisten & Top50 Online-Portale verbreiten:

PM löschen PM ändern
Disclaimer: Für den obigen Pressetext inkl. etwaiger Bilder/ Videos ist ausschließlich der im Text angegebene Kontakt verantwortlich. Der Webseitenanbieter distanziert sich ausdrücklich von den Inhalten Dritter und macht sich diese nicht zu eigen. Wenn Sie die obigen Informationen redaktionell nutzen möchten, so wenden Sie sich bitte an den obigen Pressekontakt. Bei einer Veröffentlichung bitten wir um ein Belegexemplar oder Quellenennung der URL.

Pressemitteilungen KOSTENLOS veröffentlichen und verbreiten mit openPR

Stellen Sie Ihre Medienmitteilung jetzt hier ein!

Jetzt gratis starten

Weitere Mitteilungen von jung diagnostics GmbH

Studie belegt: Risikodiagnostik dämmt Sorgen und Ängste vor Alzheimer ein
Studie belegt: Risikodiagnostik dämmt Sorgen und Ängste vor Alzheimer ein
Zuverlässig eine Alzheimer-bedingte dementielle Entwicklung ausschließen Mit steigendem Alter wächst die Angst vor der Diagnose Alzheimer. Screening-Maßnahmen, so die Befürchtung, würden Betroffene und ihre Angehörigen unnötig in Panik versetzen. Mehr noch: Die Risikodiagnostik sei ohne medizinischen Nutzen und dieser Test würde nur angeboten, damit Ärzte daran verdienen könnten. Diese Behauptungen sind ohne Substanz: Eine aktuell in der renommierten Fachzeitschrift „Der Nervenarzt“ veröffentlichte Studie belegt jetzt eindrucksvoll, dass die…
Bild: Diagnose von Demenzen in Deutschland mangelhaftBild: Diagnose von Demenzen in Deutschland mangelhaft
Diagnose von Demenzen in Deutschland mangelhaft
Forschung wird vorangetrieben, aber bestehende Möglichkeiten nicht genutzt Nur wenn eine Demenz und ihre Ursache früh erkannt wird, kann optimal behandelt werden. Daher fordern Experten eine möglichst frühzeitige Diagnose. In einer aktuellen Ausgabe des Deutschen Ärzteblatts berichten Wissenschaftler über den Missstand in der Versorgung. Ein Blick auf die bundesdeutsche Behandlungsrealität macht sprachlos. Während einerseits immer neue Verfahren zur Frühdiagnostik erprobt werden, sind andererseits die vorhandenen und etablierten diagnostis…

Das könnte Sie auch interessieren:

Bild: Diagnose von Demenzen in Deutschland mangelhaftBild: Diagnose von Demenzen in Deutschland mangelhaft
Diagnose von Demenzen in Deutschland mangelhaft
… Wissenschaftler über den Missstand in der Versorgung. Ein Blick auf die bundesdeutsche Behandlungsrealität macht sprachlos. Während einerseits immer neue Verfahren zur Frühdiagnostik erprobt werden, sind andererseits die vorhandenen und etablierten diagnostischen Möglichkeiten viel zu wenig im Einsatz. Zum Beispiel wird eine zerebrale Bildgebung in …
Protagen wirbt Finanzierung zur Expansion der Business Unit Protein Biochips ein
Protagen wirbt Finanzierung zur Expansion der Business Unit Protein Biochips ein
… neuartige Biomarker auf der Basis von Autoantikörpermustern definieren und validieren kann. Kooperationspartner erhalten am Ende der Zusammenarbeit den Prototypen eines klinischen Diagnostikums, das zur Begleitung von klinischen Studien oder zum Erkennen von Patientenkohorten eingesetzt werden kann. In eigenen Entwicklungsprogrammen arbeitet die Protagen AG …
Bild: Erfolgreiche Private-Public PartnershipBild: Erfolgreiche Private-Public Partnership
Erfolgreiche Private-Public Partnership
… Tumorerkrankungen und Morbus Alzheimer zu entwickeln. Im Sommer 2007 konnte bereits zusammen mit Prof. Dr. Daniel von der Charité ein Projekt für die Leukämiediagnostik erfolgreich begonnen werden. Zum Jahreswechsel erhielt Invitek von dem Projektträger EuroNorm GmbH im Auftrag des Bundesministeriums für Wirtschaft und Technologie die Bewilligung für …
Bild: Neue Studie spricht für frühzeitige AlzheimerdiagnostikBild: Neue Studie spricht für frühzeitige Alzheimerdiagnostik
Neue Studie spricht für frühzeitige Alzheimerdiagnostik
… aufwändiges Diagnoseverfahren sind die Befürchtungen, wegen denen ältere Menschen ihre Symptome nicht ärztlich untersuchen lassen. Eine neue Studie zur Akzeptanz der Alzheimer Risikodiagnostik (ARDX) zeichnet ein anderes Bild – und macht Mut. ARDX ist ein Verfahren, das den Einsatz etablierter, kognitiver Kurztests mit der modernen medizinischen Bildgebung …
Bild: Alzheimer, Demenz und andere neurodegenerative Erkrankungen: Vorsorge zahlt sich ausBild: Alzheimer, Demenz und andere neurodegenerative Erkrankungen: Vorsorge zahlt sich aus
Alzheimer, Demenz und andere neurodegenerative Erkrankungen: Vorsorge zahlt sich aus
… Demenzerkrankungen vermeidbar sind. In den restlichen Fällen lässt sich die Erkrankung bei rechtzeitiger Diagnose erfolgreich Behandeln oder zumindest verzögern. Institut für Bildgebende Diagnostik als Vorreiter auf diesem Gebiet führt eine spezielle MRT-basierte für den Patienten bequeme und nicht-invasive Eingangsuntersuchung, die eine Früherkennung …
Demenz - Früh erkennbar und oft vermeidbar
Demenz - Früh erkennbar und oft vermeidbar
… bindet im Gehirn an die Beta-Amyloid Plaques, die dann mittels der Positronen-Emissions-Tomographie (PET) sichtbar gemacht werden können. „Damit sind wir Radiologen in der In-vivo-Diagnostik, also der Diagnose von Morbus Alzheimer beim lebenden Patienten, eigentlich schon weiter als in der Therapie“, erklärt PD Dr. Alexander Drzezga, Nuklearmediziner …
Die Spurenelemente Kupfer und Zink sind eine Hoffnung für Alzheimer-Patienten
Die Spurenelemente Kupfer und Zink sind eine Hoffnung für Alzheimer-Patienten
Viele aktuelle wissenschaftliche Studienergebnissen deuten darauf hin, dass eine Unterversorgung mit den Vitalstoffen Kupfer und Zink zu Alzheimer führt und die Gabe dieser wichtigen Substanzen das Fortschreiten der Erkrankung stoppen kann, teilt heute die Vitalstoffakademie in Köln mit. Scheinbar sind die lebenswichtigen Spurenelemente Kupfer und Zink …
Bild: Bei Angst vor Alzheimer kann rasche Abklärung Erleichterung bringenBild: Bei Angst vor Alzheimer kann rasche Abklärung Erleichterung bringen
Bei Angst vor Alzheimer kann rasche Abklärung Erleichterung bringen
Neue Studie spricht für frühzeitige Alzheimerdiagnostik „Alt werden ist nichts für Feiglinge.“ – das wusste schon Bette Davis. Es gibt viele Veränderungen, denen man sich im Alter stellen muss. Besonders beängstigend ist es für die meisten Menschen, wenn sie Gedächtnisprobleme an sich bemerken. Die Angst bei Erinnerungslücken nährt sich aus vielen Quellen: …
Bildgebende Verfahren in den Forschungsleitlinien aufgenommen
Bildgebende Verfahren in den Forschungsleitlinien aufgenommen
Presseinformation vom Januar 2014 Bildgebende Verfahren in den Forschungsleitlinien aufgenommen Alzheimer-Diagnostik ist kein Voodoo-Zauber! In Hamburg entwickeltes Verfahren ist Bestandteil einer von der englischen Regierung geförderten Initiative zur Früherkennung von Alzheimer Die moderne Alzheimer-Diagnostik ist durch die Entwicklung von Biomarkern …
Bayer HealthCare und Protagen unterzeichnen Vertrag zur Evaluierung der UNIarray® Technologie
Bayer HealthCare und Protagen unterzeichnen Vertrag zur Evaluierung der UNIarray® Technologie
… die Evaluierung der UNIarray® Technologie im Rahmen einer Machbarkeitsstudie sollen die Entwicklungsmöglichkeiten von Biomarkern für die Patientenstratifizierung zur prognostischen Diagnostik für Vorhofflimmern überprüft werden. UNIarray® ist eine proprietäre Technologieplattform der Protagen AG zur Entwicklung neuartiger Diagnostika auf der Basis von …
Sie lesen gerade: Studie belegt Zuverlässigkeit von automatisiertem Biomarker in der Diagnostik von Morbus Alzheimer