(openPR) Rasche Abklärung erleichtert – sogar wenn das Alzheimer-Risiko erhöht ist
„Alt werden ist nichts für Feiglinge.“ – das wusste schon Bette Davis. Es gibt viele Veränderungen, denen man sich im Alter stellen muss. Besonders beängstigend ist es für die meisten Menschen, wenn sie Gedächtnisprobleme an sich bemerken. Die Angst bei Erinnerungslücken nährt sich aus vielen Quellen: Drohender Kontrollverlust, die Diagnose Alzheimer und ein belastendes und aufwändiges Diagnoseverfahren sind die Befürchtungen, wegen denen ältere Menschen ihre Symptome nicht ärztlich untersuchen lassen. Eine neue Studie zur Akzeptanz der Alzheimer Risikodiagnostik (ARDX) zeichnet ein anderes Bild – und macht Mut.
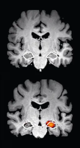
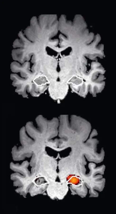
ARDX ist ein Verfahren, das den Einsatz etablierter, kognitiver Kurztests mit der modernen medizinischen Bildgebung und innovativen computergestützten Analyseverfahren kombiniert, und damit eine durch die Alzheimer-Erkrankung bedingte demenzielle Entwicklung mit großer Sicherheit ausschließen kann. Die ARDX ist eine den Patienten maximal schonende Untersuchung, da keine invasiven Eingriffe notwendig sind und durch die Magnetresonanztomographie-Untersuchung (MRT) keine schädigende Strahlung verabreicht wird.
Für die Patienten fallen dabei nur zwei Termine an: beim Radiologen, um eine MRT anfertigen zu lassen, und beim Neurologen für den etwa zehnminütigen Gedächtnistest und die Befundbesprechung.
Eine Studie von MedPREVENT in Ottobrunn untersucht derzeit, inwieweit durch die ARDX Ängste und Sorgen vor einer Alzheimer-Erkrankung eingedämmt werden können. Dazu wurden die Patienten vor und nach der Untersuchung über ihre Sorgen und Ängste befragt. Wie zu erwarten war, zeigten die Vorabergebnisse der Studie, dass bei Patienten mit reduziertem Risiko, Ängste und Sorgen nach der Untersuchung vermindert und das Wohlbefinden gestiegen war. Überraschend war, dass bei den Patienten mit erhöhtem Risiko Sorgen und Ängste nicht signifikant zugenommen hatten, sondern sogar eine Verbesserung des Wohlbefindens angegeben wurde.
Obwohl Alzheimer heute noch nicht heilbar ist, gibt es Medikamente, die eine Stabilisierung des Zustandes erreichen und so Zeitfenster für ein bewusstes, selbstbestimmtes Leben ebenso eröffnen wie für einen geplanten, würdevollen Rückzug in ein betreutes Altern. Eine frühzeitige Diagnostik erleichtert also nicht nur, sondern sie schafft auch Handlungsspielraum. Denn sehr oft sind Gedächtnislücken auf ganz andere, besser behandelbare Ursachen als Morbus Alzheimer zurückzuführen.
Bisher konnte ARDX nur in einigen Pilotzentren angeboten werden. Durch die Weiterentwicklung des Verfahrens mit Wissenschaftlern an der Pariser Sorbonne und der Berliner Charité gibt es nun auch immer mehr niedergelassene Neurologen und Psychiater, die ARDX anbieten.
Dr. Lothar Spies, Geschäftsführer der Firma jung diagnostics, die ARDX entwickelt haben: „Wir stoßen bei niedergelassenen Fachärzten auf ein großes Interesse an der ARDX. Sie haben häufig mit Patienten zu tun, denen die Sorgen und Angst vor Alzheimer eine große Last sind. Durch die ARDX kann diesen Menschen geholfen werden.“
Der finanzielle Aufwand für ARDX liegt für den Patienten übrigens bei € 194,00 zuzüglich der Kosten für das MRT.













