openPR Recherche & Suche
Presseinformation

Novel Therapy for Endometriosis?

28.09.201715:00 UhrWissenschaft, Forschung, Bildung
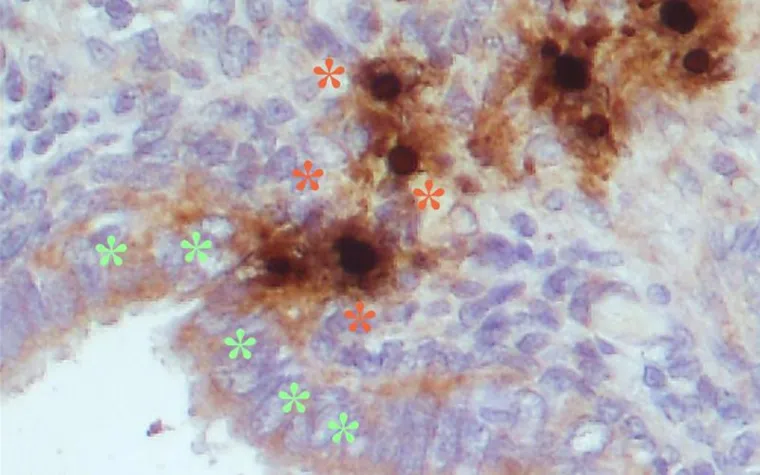
Bild: Novel Therapy for Endometriosis?
PIF (green) modulates the inflammatory cells (red) in endometriosis (microscopic view) (Inselspital, Bern University Hospital)
PIF (green) modulates the inflammatory cells (red) in endometriosis (microscopic view) (Inselspital, Bern University Hospital)

(openPR) Why does endometriosis ameliorate during pregnancy? In the answer to this question, researchers from Inselspital in Bern, the HCERM fertility center in Rome and BioIncept in New York may have discovered a new treatment for endometriosis.

---


The chronic inflammatory condition endometriosis improves during pregnancy. Responsible for this anti-inflammatory action is a molecule (PreImplantation Factor: PIF), produced by the embryo. The same effect can be reproduced with a synthetic version of PIF, as a multidisciplinary group of researchers from Inselspital Bern, Rome and BioIncept New York were able to demonstrate on 13 September 2017 in PLOS One. The study results foreshadow the potential development of medication that can treat or even prevent endometriosis.

Tackling the root cause

“As PIF interacts with key regulators of immune processes, we can now influence the inflammatory reaction in endometriosis” explains corresponding author PD Dr. Dr. Martin Müller, Senior Attending in the Department of Obstetrics and Gynaecology at Inselspital, Bern University Hospital, and Visiting Assistant Professor in the Department of Obstetrics, Gynaecology and Reproductive Sciences at the Yale School of Medicine. Lead author Marco Sbracia, who works in the Department of Obstetrics and Gynaecology at Hungaria Center for Endocrinology and Reproductive Medicine in Rome, adds: “Our findings suggest that PIF is involved in the pathogenesis of endometriosis and might be used therapeutically as well as preventively.”

In this study Müller and the team discovered that PIF regulates cell death depending on the inflammatory milieu. Therefore, PIF has potential as a diagnostic marker and therapeutic option. “The results are exciting,” says Prof. Dr. Michael Mueller, Head of Gynaecology and Oncology at Inselspital Bern. “We want to further investigate this new approach to tackle the inflammatory processes at the root of endometriosis.”

A pregnancy molecule as treatment

PIF was first discovered and characterised by Dr. Eytan R. Barnea, the chief scientific officer of BioIncept, LLC. The FDA has awarded PIF fast-track designation, resulting in a recently completed first-in-human clinical trial to treat autoimmunity patients at the University of Miami. In Bern, the research team is now evaluating the possibility of a clinical trial for endometriosis. A potential application for the prevention of preterm delivery is also being evaluated.

___

It takes on average eight to ten years until endometriosis is diagnosed. Ten percent of women of childbearing age are affected by the progressive chronic disease. Besides strong pain during menstruation, the inflammatory adhesion may cause infertility. Still, many women put up with the disease as “normal menstrual complaints” until the pain is no longer bearable. “At this stage, minimally invasive surgery is often the best option to achieve freedom from symptoms,” says Michael Mueller, endometriosis specialist and Head of Gynaecology at the Department of Gynaecology and Obstetrics at Inselspital, Bern University Hospital.

The endometriosis center at Inselspital annually treats over 200 patients with a team of physicians and specialized endometriosis nurses. It has conducted research on the chronic disease for over fifteen years now. Currently, endometriosis is predominantly treated with hormone-active drugs or through surgery. The development of new drugs to stop the inflammatory processes without interfering with the woman’s hormone balance is therefore a major concern.
On the occasion of Endometriosis Day (29 September), the Department of Gynaecology and Obstetrics at Inselspital wants to sensitise the public to the still underestimated disease, especially underlining the importance of researching new therapeutic options.

Contact: PD Dr. Dr. med. Martin Müller, Senior Attending in the Department of Gynaecology and Obstetrics at Inselspital, Bern University Hospital, E-Mail.

Weitere Informationen:
- http://journals.plos.org/plosone/article?id=10.1371/journal.pone.0184399

Quelle: idw

Diese Pressemeldung wurde auf openPR veröffentlicht.

Verantwortlich für diese Pressemeldung:

News-ID: 971431
 468

Kostenlose Online PR für alle

Jetzt Ihren Pressetext mit einem Klick auf openPR veröffentlichen

Jetzt gratis starten

Pressebericht „Novel Therapy for Endometriosis?“ bearbeiten oder mit dem "Super-PR-Sparpaket" stark hervorheben, zielgerichtet an Journalisten & Top50 Online-Portale verbreiten:

PM löschen PM ändern
Disclaimer: Für den obigen Pressetext inkl. etwaiger Bilder/ Videos ist ausschließlich der im Text angegebene Kontakt verantwortlich. Der Webseitenanbieter distanziert sich ausdrücklich von den Inhalten Dritter und macht sich diese nicht zu eigen. Wenn Sie die obigen Informationen redaktionell nutzen möchten, so wenden Sie sich bitte an den obigen Pressekontakt. Bei einer Veröffentlichung bitten wir um ein Belegexemplar oder Quellenennung der URL.

Pressemitteilungen KOSTENLOS veröffentlichen und verbreiten mit openPR

Stellen Sie Ihre Medienmitteilung jetzt hier ein!

Jetzt gratis starten

Weitere Mitteilungen von Universitätsspital Bern

Bild: EPFL: Spende für den Aufbau eines Zentrums für künstliche Muskeln (Projekt Inselspital)Bild: EPFL: Spende für den Aufbau eines Zentrums für künstliche Muskeln (Projekt Inselspital)
EPFL: Spende für den Aufbau eines Zentrums für künstliche Muskeln (Projekt Inselspital)
Dank einer Spende der Werner Siemens-Stiftung über 12 Millionen Franken kann die EPFL in Zusammenarbeit mit dem Inselspital und der Universität Bern sowie anschliessend dem Universitätsspital Zürich ein Zentrum für künstliche Muskeln aufbauen. Das erste, für die nächsten vier Jahre geplante Projekt betrifft die Entwicklung eines nicht invasiven Unterstützungssystems für Patienten mit Herzinsuffizienz. Die als Ring um die Hauptschlagader gelegte Prothese hat keinen Kontakt mit Blut, sodass insbesondere Probleme mit Blutungen oder Thrombosen au…
Bild: Bio-Stents erhöhen Herzinfarkt-RisikoBild: Bio-Stents erhöhen Herzinfarkt-Risiko
Bio-Stents erhöhen Herzinfarkt-Risiko
Biologisch abbaubare Stents galten als Ideal-Lösung bei verengten Herzkranzgefässen. Doch statt sich in Wohlgefallen aufzulösen, führen die «Bio-Stents» paradoxerweise häufiger zu weiteren Infarkten als herkömmliche Metall-Stents. Eine Studie der Universitätsklinik für Kardiologie am Inselspital kommt dem Rätsel auf die Spur. --- Seit dem ersten erfolgreichen Einsatz eines Ballonkatheters 1977 suchen Forscher weltweit den idealen Stent zur Behandlung von verengten Herzkranzgefässen. Grosse Hoffnungen lagen auf einem 2011 zugelassenen Polymer…

Das könnte Sie auch interessieren:

PKNP-Technologie von Onco-Innovations zeigte in Studie geringe Toxizität bei hohem Sicherheitsprofil
PKNP-Technologie von Onco-Innovations zeigte in Studie geringe Toxizität bei hohem Sicherheitsprofil
… Forschern der University of Alberta, Kanada, durchgeführten Studie A synthetically lethal nanomedicine delivering novel inhibitors of polynucleotide kinase 3-phosphatase (PNKP) for targeted therapy of PTEN-deficient colorectal cancer in Journal of Controlled Release, Volume 334, Juni 2021: S. 335-352 eine verbesserte Abgabe des PNKP-Inhibitors ergeben …
Bild: Novel histone modifications couple metabolism to gene activityBild: Novel histone modifications couple metabolism to gene activity
Novel histone modifications couple metabolism to gene activity
… DOI: 10.1038/nsmb.3490 As German Research Center for Environmental Health, Helmholtz Zentrum München pursues the goal of developing personalized medical approaches for the prevention and therapy of major common diseases such as diabetes mellitus and lung diseases. To achieve this, it investigates the interaction of genetics, environmental factors and …
Bild: Hyperthermie als komplementäre Therapie bei BlasenkrebsBild: Hyperthermie als komplementäre Therapie bei Blasenkrebs
Hyperthermie als komplementäre Therapie bei Blasenkrebs
… Therapien bei Blasenkrebs und ergänzt: „Therefore, novel approaches are needed to improve clinical outcome. Local tumour hyperthermia is currently used either as an ablation therapy or in combination with Radio-Therapy to enhance anti-tumour effects.” Blasenkrebs ist der häufigste Tumor der Harnwege und rangiert an fünfter Stelle unter allen Tumorformen. …
Bild: Neue Stricknadel Innovation addiCraSyTrio NovelBild: Neue Stricknadel Innovation addiCraSyTrio Novel
Neue Stricknadel Innovation addiCraSyTrio Novel
… dem Highlight aus 2019 und schon hat man ein neues Highlight maßgeschneidert auf die Bedürfnisse der Kunden und eine neue Nadel ist geboren: die addiCraSyTrio Novel. Mit den addiCraSyTrio Novel, geht addi auf eine Vielzahl an Kundenanfragen ein, die sich lange Spitzen auf den beliebten addiCraSyTrio gewünscht haben; für große Projekte und auch große …
Bild: New Inhibitor Brings New HopeBild: New Inhibitor Brings New Hope
New Inhibitor Brings New Hope
… receive a considerably worse prognosis in most cases. Roughly 15 percent of all breast cancer patients have triple receptor-negative breast cancer, which lacks markers for a targeted therapy. In the last few years, a bulk of data pointing to a small population of cells in tumors that maintain tumor growth, are particularly resistant to chemotherapy, …
PROvendis assigns an option to Boehringer Ingelheim for technology evaluation
PROvendis assigns an option to Boehringer Ingelheim for technology evaluation
… Biopharmaceuticals are a strongly growing business area in pharma- and biotech-industry due to their vast level of turnover, and find mainly application in cancer therapy. However, the technological effort as well as the current methods of development and production are extremely challenging and costly. Theraptutic proteins are predominantly produced …
Bild: Glycosylation: Mapping Uncharted TerritoryBild: Glycosylation: Mapping Uncharted Territory
Glycosylation: Mapping Uncharted Territory
… treatment strategies for disease. It could also be used by clinicians to define aberrant glycoproteomic signatures as biomarkers of disease and to track responses to therapy,” adds Josef Penninger, last author and scientific director of IMBA. Original paper: Stadlmann, Taubenschmid et al. „Comparative glycoproteomics of stem cells identifies new players in …
Bild: juravendis Rechtsanwälte ++ LEBENSMITTELRECHT ++ Thema - Novel-FoodBild: juravendis Rechtsanwälte ++ LEBENSMITTELRECHT ++ Thema - Novel-Food
juravendis Rechtsanwälte ++ LEBENSMITTELRECHT ++ Thema - Novel-Food
Unter "Novel Food" versteht man bestimmte neuartige Lebensmittel bzw. Lebensmittelzutaten. Ursprünglich fielen hierunter auch genetisch veränderte Lebensmittel, die zwischenzeitlich jedoch aus dem Anwendungsbereich des Novel Food Rechts herausgelöst wurden und nunmehr einer eigenständigen Regulierung unterfallen. 1. Begriff Novel Food sind gemäß Artikel …
Bild: Fraunhofer ISC expands Health UnitBild: Fraunhofer ISC expands Health Unit
Fraunhofer ISC expands Health Unit
… for joint research of the Translational Center and the Fraunhofer ISC include the synthesis of biologically or biochemically functionalized particles for use in personalized diagnostics/therapy or regenerative therapy approaches in dental medicine. The teaming up of the Fraunhofer ISC and the TLZ-RT to promote the development of novel cell and cell-tissue …
Successes and challenges of leukaemia treatment using CAR-T cells – where are we now?
Successes and challenges of leukaemia treatment using CAR-T cells – where are we now?
… Europe have been published by researchers under the supervision of the Paul-Ehrlich-Insitute in EMBO Molecular Medicine (01 August 2017, online early view). --- For many decades, cancer therapy consisted of surgery, chemotherapy and radiotherapy as well as blood stem cell transplantations. A novel and very promising therapy concept is the stimulation of …
Sie lesen gerade: Novel Therapy for Endometriosis?