(openPR) Wer bei Gedächtnislücken rechtzeitig zum Arzt geht, sichert sich einen Handlungsspielraum. Denn es gibt durchaus Interventionsmöglichkeiten. Doch wegen der weit verbreiteten Ansicht, dass man Alzheimer in jedem Stadium der Krankheit sowieso hilflos ausgeliefert ist, scheuen viele Patienten den Gang zum Arzt.
1. Irrtum: „Alzheimer ist nicht heilbar – also kann man sowieso nichts tun“
Das ist so nicht richtig. Neben Linderungs- und Stabilisierungsmöglichkeiten über Medikamente gibt es eine Vielzahl nicht-mediakmentöser Ansätze. Die Alzheimer Forschung Initiative e.V. geht davon aus, dass allein durch die derzeit zugelassenen Medikamente eine Heimeinweisung um etwa zwei Jahre hinaus gezögert werden kann. Diese Medikamente, die auch von der Alzheimer Forschung Initiative e.V. propagiert werden, dienen hauptsächlich der Behandlung von Begleitkrankheiten und Verhaltensstabilisierung, fördern die Hirnleistung und wirken vorbeugend und nervenschützend.
Legt man die offiziellen Zahlen der Gesundheitsberichterstattung des Bundes zugrunde, die von einer Lebenserwartung zwischen vier und acht Jahren ab Auftreten der ersten Symptome ausgehen, so ist ein Erhalt von zwei Jahren Lebensqualität ein beachtlicher Sieg.
Die Medikamente, die bisher als Heilmittel erforscht wurden und dabei versagt haben, zeigen übrigens in einer genauen Evaluation der Studien, dass sie durchaus eine Wirkung haben: werden sie Patienten verabreicht, die die Krankheit im Frühstadium haben, wird der Verlauf dadurch deutlich verlangsamt.
2. Irrtum: „Wenn ich herausfinden will, ob ich an einer Alzheimer-Demenz erkrankt bin, muss ich mich einer aufwändigen psychologischen Testung unterziehen. “
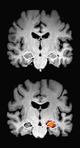
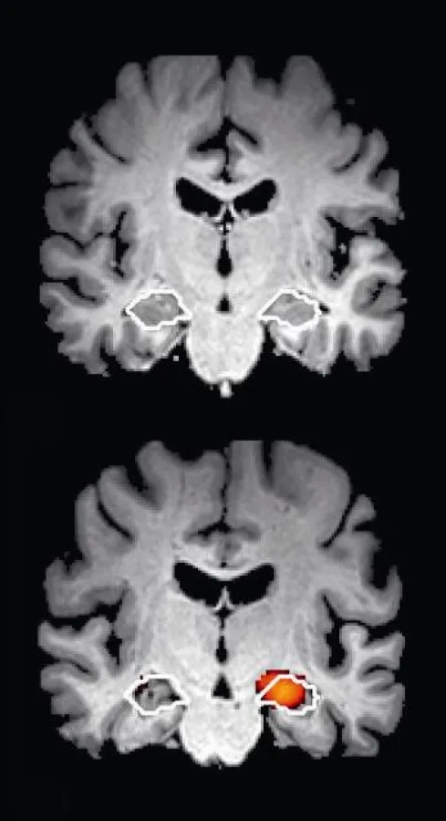
Auch das ist nur die halbe Wahrheit. Die Demenzabklärung beinhaltet zunächst den Einsatz neuropsychologischer Kurztests. Die Dauer dieser Tests beschränkt sich auf wenige Minuten. Mit ihnen lassen sich subjektive Gedächtnisstörungen objektivieren und ein Demenzverdacht begründen. Erst wenn ein Verdacht besteht kommen ergänzende neuropsychologische Tests zum Einsatz. Bei der Alzheimer-Erkrankung kommt es zusätzlich zum Verlust von Nervenzellen in bestimmten Hirnregionen. Ein neues Testverfahren, die Alzheimer-Risikodiagnostik (ARDX), entwickelt von der Firma jung diagnostics aus Hamburg, erlaubt den Nachweis von neuronalen Schädigungen in den Alzheimer-typischen Regionen. Ein positives Testergebnis geht mit einem erhöhten individuellen Alzheimer-Risiko einher. Aus diesem Grund sollte sich eine ergänzende fachärztliche Abklärung anschließen, um ggfs. eine leitliniengerechte Diagnose mit anschließender Therapie einzuleiten. Bei fehlendem Nachweis kann eine Alzheimer-Demenz hingegen als Ursache der Gedächtnisstörungen zuverlässig ausgeschlossen werden. Die ARDX kombiniert den Einsatz etablierter kognitiver Kurztests mit der modernen medizinischen Bildgebung und auf ihr basierenden innovativen computergestützten Analyseverfahren. Die Magnetresonanztomographie (MRT) ist nebenwirkungs- und strahlungsfrei. Die gesamte Untersuchungszeit beträgt weniger als eine Stunde. Die ARDX stellt eine schnelle und bequeme Möglichkeit zur Abklärung des individuellen Alzheimer-Risikos dar.








