openPR Recherche & Suche
Presseinformation

Secret Smile Schienen: Zahnkorrektur, die keiner sieht

28.02.201717:41 UhrGesundheit & Medizin
Bild: Secret Smile Schienen: Zahnkorrektur, die keiner sieht
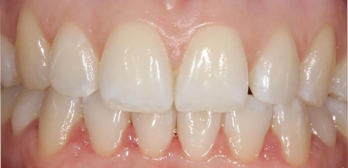
optimiertes Ergebnis der Zahnstellung mit der Secret Smile Schiene
optimiertes Ergebnis der Zahnstellung mit der Secret Smile Schiene

(openPR) Zahnschiefstellungen, gerade im sichtbaren Frontzahnbereich, erwecken besonders bei erwachsenen Patienten mit hohen ästhetischen Anforderungen den Wunsch nach einer möglichst unauffälligen Korrektur ihrer Zähne.

Mit den Secret-Smile-Schienen bietet Bösing Dental (Bingen am Rhein) die Möglichkeit der (fast) unsichtbaren, komfortablen und nachhaltigen Korrektur von Zahnfehlstellungen an. Bei den Secret-Smile-Schienen handelt es sich um transparente Kunststoffschienen, deren Anzahl je nach Grad der Schiefstellung vom Zahnarzt festgelegt wird. Auf Basis des Therapievorschlags des Zahnmediziners stellen die Zahntechniker von Bösing Dental die benötigte Anzahl an Schienen her, die von der Fehlstellung der Zähne abhängt. Jede Alignerschiene muss 10 Tage für 24 Stunden getragen werden, um eine Zahnstellung im jeweiligen Korrekturstadium optimal zu verschieben.

Sowohl beim Sprechen als auch bei alltäglichen Tätigkeiten ergibt sich kein Störgefühl. Die Secret-Smile-Schiene ist fast unsichtbar, so dass ohne Einschränkungen geredet und gelacht werden kann. Lediglich zum Zähneputzen sowie beim Essen und Trinken sollte die Schiene kurz herausgenommen werden. Für ein optimales Ergebnis mit hoher Nachhaltigkeit sorgt ein Retainer oder eine Abschluss-Schiene nach der durchgeführten Schienentherapie.

Vorteile der Secret-Smile-Schienen:
- Bewegung der Zähne auf sanfte Art
- Vorhersagbares Ergebnis
- Kurze Behandlungsdauer
- Kein Störgefühl
- Einfache Handhabung
- Nahezu unsichtbar
- Schmerzfrei
- Kostengünstig

Weitere Informationen telefonisch unter 06721 491 680 erhältlich.

Diese Pressemeldung wurde auf openPR veröffentlicht.

Verantwortlich für diese Pressemeldung:

News-ID: 940848
 1656

Kostenlose Online PR für alle

Jetzt Ihren Pressetext mit einem Klick auf openPR veröffentlichen

Jetzt gratis starten

Pressebericht „Secret Smile Schienen: Zahnkorrektur, die keiner sieht“ bearbeiten oder mit dem "Super-PR-Sparpaket" stark hervorheben, zielgerichtet an Journalisten & Top50 Online-Portale verbreiten:

PM löschen PM ändern
Disclaimer: Für den obigen Pressetext inkl. etwaiger Bilder/ Videos ist ausschließlich der im Text angegebene Kontakt verantwortlich. Der Webseitenanbieter distanziert sich ausdrücklich von den Inhalten Dritter und macht sich diese nicht zu eigen. Wenn Sie die obigen Informationen redaktionell nutzen möchten, so wenden Sie sich bitte an den obigen Pressekontakt. Bei einer Veröffentlichung bitten wir um ein Belegexemplar oder Quellenennung der URL.

Pressemitteilungen KOSTENLOS veröffentlichen und verbreiten mit openPR

Stellen Sie Ihre Medienmitteilung jetzt hier ein!

Jetzt gratis starten

Weitere Mitteilungen von Bösing Dental

Bild: Save the date - 2. Dentaler Adria Kongress in KroatienBild: Save the date - 2. Dentaler Adria Kongress in Kroatien
Save the date - 2. Dentaler Adria Kongress in Kroatien
Save the date - 2. Dentaler Adria Kongress in Kroatien 30. September bis 04. Oktober 2019 auf Hvar Zum 2. Dentalen Adria Kongress erwarten die Veranstalter Christoph Bösing und Birgit Tudor (Bösing Dental, Bingen am Rhein) Expertinnen und Experten, die ihre zahnmedizinische Expertise bei dem internationalen Fortbildungskongress an interessierte Zahnmediziner weitergeben. Die Fortbildungsreise geht auf eine der schönsten Inseln der Adria - Hvar. Prof. Dr. Dr. Bilal Al-Nawas (Direktor MKG Universität Mainz) leitet den Kongress und führt dur…
Bild: Wer schleift, verliert! Siegfried Leder: analog und digital unterwegs bei Bösing DentalBild: Wer schleift, verliert! Siegfried Leder: analog und digital unterwegs bei Bösing Dental
Wer schleift, verliert! Siegfried Leder: analog und digital unterwegs bei Bösing Dental
Analoge vs. digitale Abformung – welche Abformtechnik liefert die besseren Ergebnisse? Und wie sind Einschleifmaßnahmen beim Einsetzen von festsitzenden Restaurationen zu vermeiden? Das waren die Kerninhalte des Workshops mit Zahnarzt Siegfried Leder im Labor Bösing Dental, Bingen. Denn Siegfried Leder vertritt die Meinung: „Wer schleift, verliert!“ Um perfekt passende Versorgungen mit einem sicheren Biss zu erzielen, ist für ihn die instrumentelle Funktionsanalyse Voraussetzung. Gezeigt wurde die analoge als auch digitale Abformung bei einer…

Das könnte Sie auch interessieren:

Bild: Dentale Premiere auf HvarBild: Dentale Premiere auf Hvar
Dentale Premiere auf Hvar
… Försch ist Fachzahnarzt für Kieferorthopädie. Er zeigte Behandlungsansätze in der Erwachsenenkieferorthopädie unter interdisziplinären Aspekten. Als erfolgreiche Therapie zur Behandlung von Zahnkorrekturen, wie Schiefstellungen und Lücken, präsentierte er die Alignerschiene „Secret Smile“. Bei den Secret-Smile-Schienen von Bösing Dental handelt es sich …
Invisalign: Dres. Feyer bietet unauffällige Zahnkorrektur
Invisalign: Dres. Feyer bietet unauffällige Zahnkorrektur
… für Kieferorthopädie Dres. Feyer (https://www.praxis-feyer.de) ist auf feste und lose Zahnspangen spezialisiert und bietet mit Invisalign eine unauffällige Zahnkorrektur für erwachsene und auch jugendliche Patienten an. Behandlung mit Invisalign-Zahnschienen Die Zahnschienen, auch Aligner genannt, werden mittels einer 3D-Planungssoftware hergestellt. …
Krumme Zähne? Klare Lösung! - Diskrete Zahnstellungskorrektur dank transparenter Schienen
Krumme Zähne? Klare Lösung! - Diskrete Zahnstellungskorrektur dank transparenter Schienen
… ein selbstsicheres Lächeln leicht. Unzufrieden über die Stellung ihrer Zähne, besonders im sichtbaren Frontbereich, äußern immer mehr Erwachsene den Wunsch nach einer Zahnkorrektur. Da für die meisten eine auffällige Zahnspange wie aus Schulzeiten jedoch nicht infrage kommt, bieten die transparenten TwinAligner®-Schienen des Orthocaps®-Systems nun eine …
Moderne Formen der Zahnkorrektur: Invisalign und Clear Aligner
Moderne Formen der Zahnkorrektur: Invisalign und Clear Aligner
… in Berlin-Mitte (http://zahnarzt-berlin-mitte.de). Die genommenen Abdrücke der Zähne dienen als Ausgangspunkt für die Anfertigung eines sogenannten Situationsmodells. Der erste Schritt der Zahnkorrektur wird anschließend am Computer simuliert. Dem folgen das Set-Up, welches wiederum die Basis für die ersten Clear-Aligner-Schienen ist. Bei der Clear-Aligner-Methode …
Warum ein Zahnästhet keine krummen Sachen macht
Warum ein Zahnästhet keine krummen Sachen macht
… ist wie die deutsch-amerikanische Schauspielerin Kirsten Dunst ("Interview mit einem Vampir"), die sich kürzlich ganz offen zu ihren schiefstehenden Zähne bekannte und eine Zahnkorrektur strikt ablehnt, stellt sich die Frage: Was kann man tun, um nachhaltig schöne und gerade Zähne zu bekommen? Zahnarzt Christian Bärenklau, Zahnästhetik-Spezialist aus …
Coole Alternative zur Zahnspange: Ein Kieferorthopäde in Köln ermöglicht schonende Zahnkorrektur bei Teenagern
Coole Alternative zur Zahnspange: Ein Kieferorthopäde in Köln ermöglicht schonende Zahnkorrektur bei Teenagern
Invisalign ® Köln ist für viele Teenager in der Domstadt das entscheidende Stichwort, wenn es um eine Zahnkorrektur mit geringeren Beeinträchtigungen geht. Der Einsatz der so genannten Aligner-Therapie mit Invisalign ® -Schienen bei Dr. Marcus Breier, Kieferorthopäde in Köln, zeigt, dass Zahnkorrekturen bei Teenagern auch auf schonende und ästhetisch …
Mundwerk Hamburg bietet modernste Invisalign-Behandlungen für ein perfektes Lächeln
Mundwerk Hamburg bietet modernste Invisalign-Behandlungen für ein perfektes Lächeln
… die fortschrittliche Invisalign-Technologie an, welche eine unsichtbare und komfortable Alternative zur traditionellen Zahnspange darstellt. Mundwerk Hamburg, führend in der Zahnkorrektur, bietet die innovative Invisalign-Technologie an. Diese moderne Lösung für Zahnfehlstellungen kombiniert Ästhetik mit Komfort und Effizienz, ideal für Erwachsene …
Bild: „Millionenfach bewährt“: Die unsichtbare Revolution der Kieferorthopädie ist belegtBild: „Millionenfach bewährt“: Die unsichtbare Revolution der Kieferorthopädie ist belegt
„Millionenfach bewährt“: Die unsichtbare Revolution der Kieferorthopädie ist belegt
… Aligner-Schienen (wie Invisalign) wurde weltweit bereits bei über 16 Millionen Patienten erfolgreich angewendet. Diese millionenfache Erfolgsgeschichte hat die einst unpopuläre Zahnkorrektur für Erwachsene salonfähig gemacht.„Diese Zahlen belegen eindrucksvoll, dass die Technologie funktioniert und das Vertrauen der Patienten gewonnen hat“, sagt Dr. …
Neues Invisalign-Produkt i7 bei Dres. Feyer
Neues Invisalign-Produkt i7 bei Dres. Feyer
Einfache Lösung für kleine Zahnkorrekturen Bei der Invisalign-Technologie handelt es sich um transparente Zahnschienen, die von außen kaum sichtbar sind. Aus diesem Grund erfreut sich die moderne Behandlungsmethode besonders unter erwachsenen und jugendlichen Patienten großer Beliebtheit. Des Weiteren ist die Zahnspange nicht festsitzend und kann bei …
Bild: Zahnspange für Erwachsene als durchsichtige VarianteBild: Zahnspange für Erwachsene als durchsichtige Variante
Zahnspange für Erwachsene als durchsichtige Variante
Transparent, hoher Tragekomfort, schnelles Ergebnis - Diskrete Zahnkorrektur für Erwachsene beim Zahnarzt möglich - Erfolg vom Alter unabhängig - Behandlungsergebnis schon nach Wochen statt erst nach Jahren Berlin (zahnarzt dr. siewert/ 04.07.2012) „Schief stehende Zähne kann man auch bei Erwachsenen erfolgreich korrigieren“, so Zahnarzt Dr. Bert Siewert …
Sie lesen gerade: Secret Smile Schienen: Zahnkorrektur, die keiner sieht