(openPR) Patienten mit einer gutartigen Prostatavergrößerung steht jetzt ein neues Verfahren zur operativen Entfernung des überschüssigen Prostatagewebes zur Verfügung: die TURis (Transurethrale Resektion in Saline)-Plasma-Vaporisation. Operative Komplikationen wie Harninkontinenz, Impotenz und vor allem das potentiell lebensbedrohliche Einschwemmsyndrom können mit dem schonenden und minimal-invasiven Verfahren nahezu vermieden werden. „Damit bietet die TURis-Plasma-Vaporisation entscheidende Vorteile gegenüber der herkömmlichen Ausschälung der Prostata“, betont Dr. Stephan Neubauer, Urologe im Westdeutschen Prostatazentrum in Köln. „Vor allem ältere und kranke Patienten, sowie Patienten mit einem erhöhten Blutungsrisiko profitieren von der neuen Methode.“
Ständiges Wasserlassen, ein schwacher Harnstrahl und unangenehmes Nachtröpfeln - was für viele Männer zum Alptraum wird, ist meist auf eine gutartige Vergrößerung der Prostata zurückzuführen. Sie trifft fast jeden zweiten Mann über 50 und fast jeden 80-Jährigen. Bei der so genannten benignen Prostatahyperplasie (BPH) wächst das Drüsengewebe der Prostata in den Bereich der Harnröhre. Durch die Einengung der Harnröhre nimmt die Stärke des Harnstrahls ab und Restharn verbleibt in der Blase. Dies kann wiederum zu schmerzhaften Entzündungen führen und die Bildung von Blasensteinen begünstigen.
Im Anfangsstadium können die Beschwerden meist mit Medikamenten wirkungsvoll gelindert werden. Führen diese allerdings nicht zum gewünschten Erfolg, muss in der Regel das überschüssige Gewebe operativ entfernt werden. Als Standardverfahren gilt nach wie vor die klassische Ausschälung (transurethrale Prostataresek-tion/TURP). Mit Hilfe einer Drahtschlinge, über die ein elektrischer Strom fließt, wird überschüssiges Gewebe schichtweise abgetragen. „Der Stromfluss, der von der Arbeitselektrode durch den Körper des Patienten zur Neutralelektrode fließt, kann zu einer erheblichen Irritation und Schädigung von Gewebe führen. Somit kann es unter Umständen zu Harnröhrenengen, selten zu Erektionsstörungen und in sehr seltenen Fällen zur Harninkontinenz kommen“, erläutert Neubauer. Bei etwa zwei Prozent der behandelten Patienten tritt eine schwerwiegende Komplikation, das so genannte TUR-Syndrom auf. Hierbei gelangt Spülflüssigkeit über eröffnete Blutgefäße in den Blutkreislauf. Als Folge kommt es zu einer Veränderung der Elektrolytsituation und damit zu einer Belastung des Kreislaufs. Im schlimmsten Fall kann die Einschwemmung der Spülflüssigkeit zu Schock, Lungen- oder Hirnödem führen.
Geringeres Blutungsrisiko, hohe Wirksamkeit und kürzere Liegezeiten
Abhilfe schaffen kann jetzt ein neues minimal-invasives Verfahren, die so genannte TURis-Plasma-Vaporisation. Anders als bei der klassischen Ausschälung wird statt hypotoner Spüllösung gut verträgliche Kochsalzlösung verwendet. Dies verhindert, das potentiell lebensbedrohliche TUR-Syndrom. Eine weiterer Vorteil liegt darin, dass der Strom nicht durch den gesamten Körper fließt, sondern nur dort, wo das Gewebe abgetragen werden soll. „Die Reizung umliegender Organe kann dadurch minimiert und strombedingte Nebenwirkungen weitgehend vermieden werden“, erklärt Neubauer.
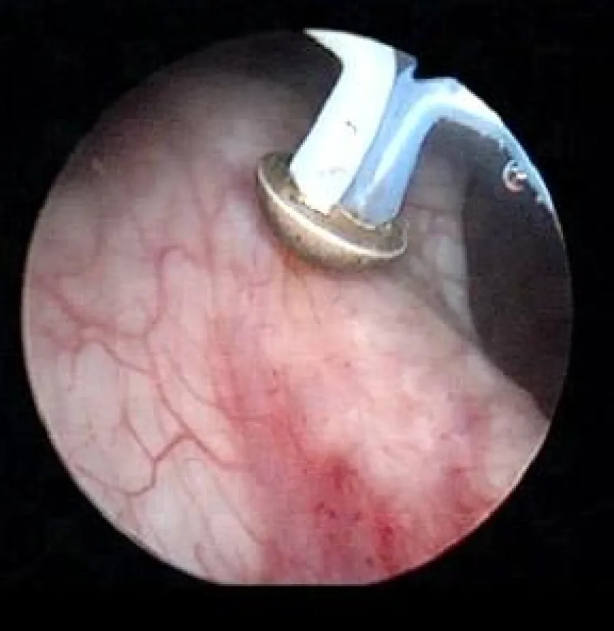
Der Operateur kann mit dem innovativen System zwei verschiedene Techniken kombinieren: die Abhobelung (Resektion) mit Hilfe von elektrischem Strom und die Verdampfung (Vaporisation) durch den Einsatz einer Vaporisationselektrode. Die Plasma-Vaporisationselektrode verdampft ähnlich wie ein Laser das Gewebe, allerdings ohne starke Hitzeentwicklung. Gleichzeitig wird das Gewebe verschorft und dadurch Blutungen von vorne herein vermieden Die Vaporisationselektrode wird hauptsächlich im Bereich der stark durchbluteten Schleimhäute eingesetzt. „Das dahinter liegende Prostatagewebe ist von weniger Blutkapillaren durchzogen und kann nun mit der elektrischen Schlinge abgehobelt werden“, erläutert der Kölner Urologe. Die Gewebespäne, die bei der Resektion anfallen, können vom Pathologen auf Tumorzellen untersucht werden.
Durch die einmalige Kombination von Verdampfung und elektrischer Schlinge kann je nach Bedarf, das heißt, ob die Blutstillung oder die Gewebeentnahme im Vordergrund steht – die jeweilige Elektrode ausgewählt und über den Arbeitskanal in die Prostata eingebracht werden. Ein weiterer Pluspunkt ist die verkürzte Operationszeit. „Das macht das Verfahren vor allem für Patienten attraktiv, die zu einem hohen Blutungsrisiko neigen und an Begleiterkrankungen wie Herz-Kreislauferkrankungen leiden.
Als eines der wenigen Zentren in Deutschland verfügt das Westdeutsche ProstataDiezentrum neben TUR-P, TUNA und den hochmodernen Laserverfahren (Greenlight-Laser und Life-Diodenlaser) jetzt auch über die innovative TURis-Plasma-Vaporisation. „Damit verfügen wir über ein umfassendes Spektrum minimal-invasiver und operativer Behandlungsmöglichkeiten bei der gutartigen Prostatavergrößerung und können so für jeden Patienten individuell entscheiden, welche Methode optimal geeignet ist“, resümiert Neubauer.











