(openPR) Male infertility can be caused by mutations in the DNA of mitochondria, the powerhouses of cells. By increasing the total DNA amount in mitochondria, scientists from the Max Planck Institute for Biology of Ageing in Cologne restored testis function and semen quality in infertile mice.
---
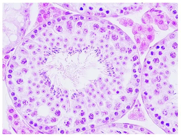
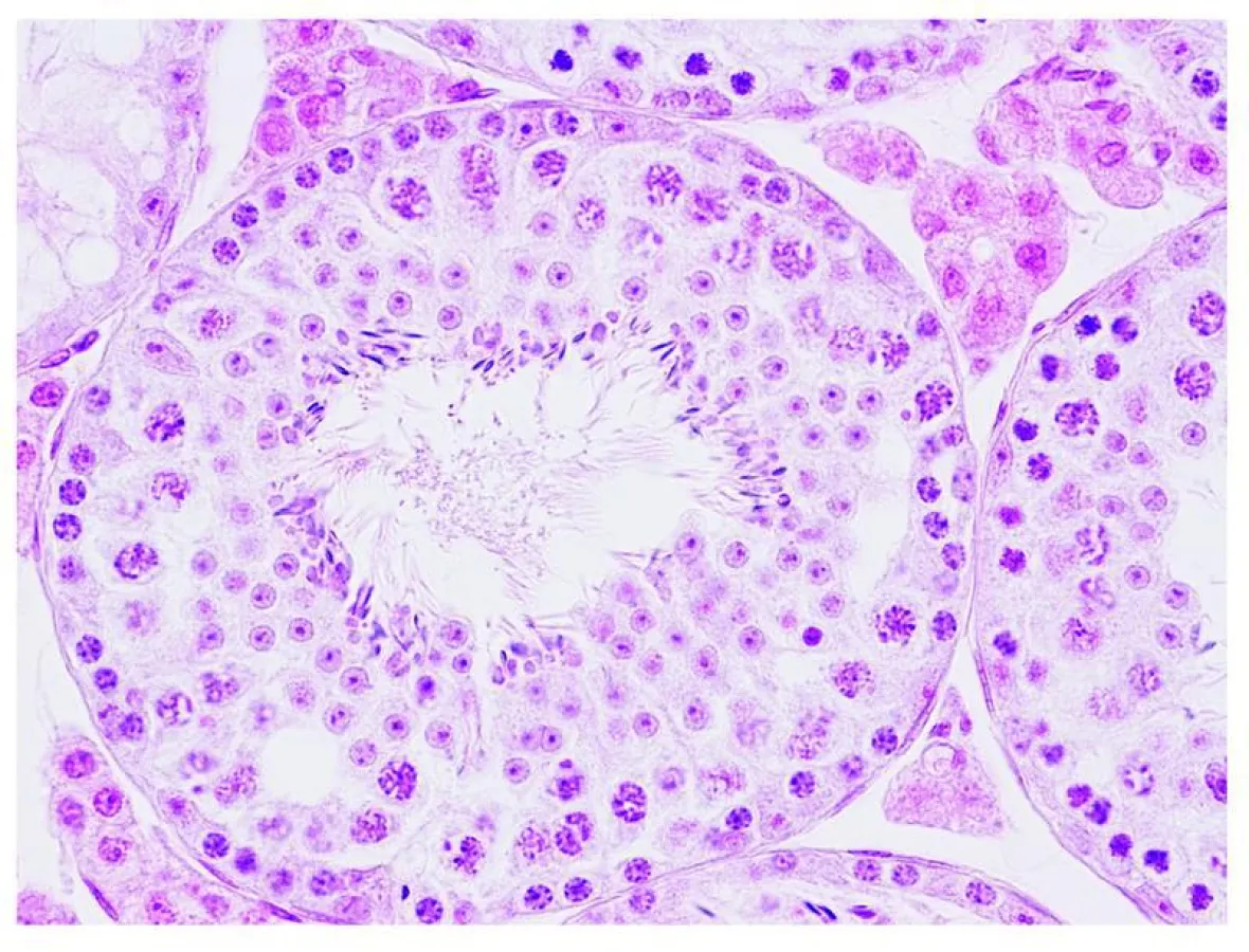
Worldwide approximately nine percent of women and men are involuntarily childless. In 40 to 50 percent of the cases this is due to male infertility. This infertility can be caused by different reasons, one of them are mutations in the mitochondrial DNA. Mitochondria are tiny energy factories inside the cell and harbor their own independent genome – the mitochondrial DNA (mtDNA). Mice suffering from a high number of mutations in the mtDNA are infertile and have fewer and less motile sperm.
Max Planck scientist Min Jiang and her colleagues studied these mice and found a way to overcome the consequences of these mutations. ”We increased the total amount of mtDNA in the mitochondria of the testis. This did not change the proportion of mtDNA with mutations, but it increased the absolute number of non-mutated mtDNA, which restored mitochondrial energy production and semen quality”, explains Jiang.
As a next step the researchers want to screen for pharmaceuticals, which could stimulate total mtDNA amount in the testis. “We hope to find an efficient future strategy to treat or even cure patients suffering from infertility caused by mtDNA mutations”, says Jiang.
Weitere Informationen:
- http://www.age.mpg.de
Quelle: idw











