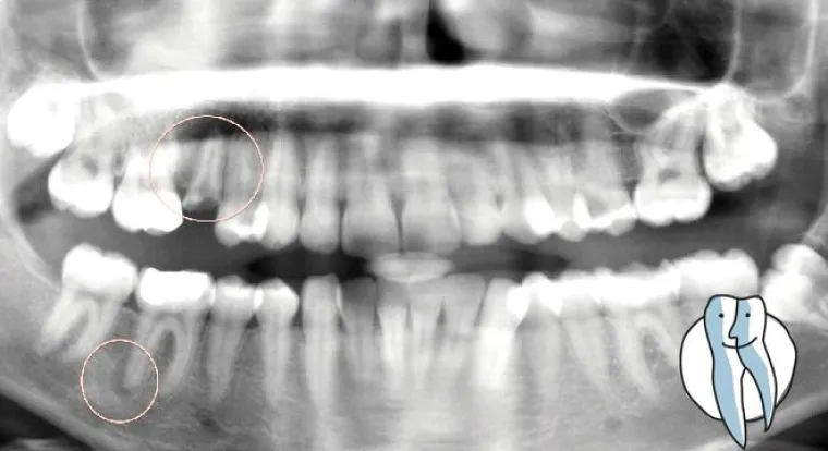
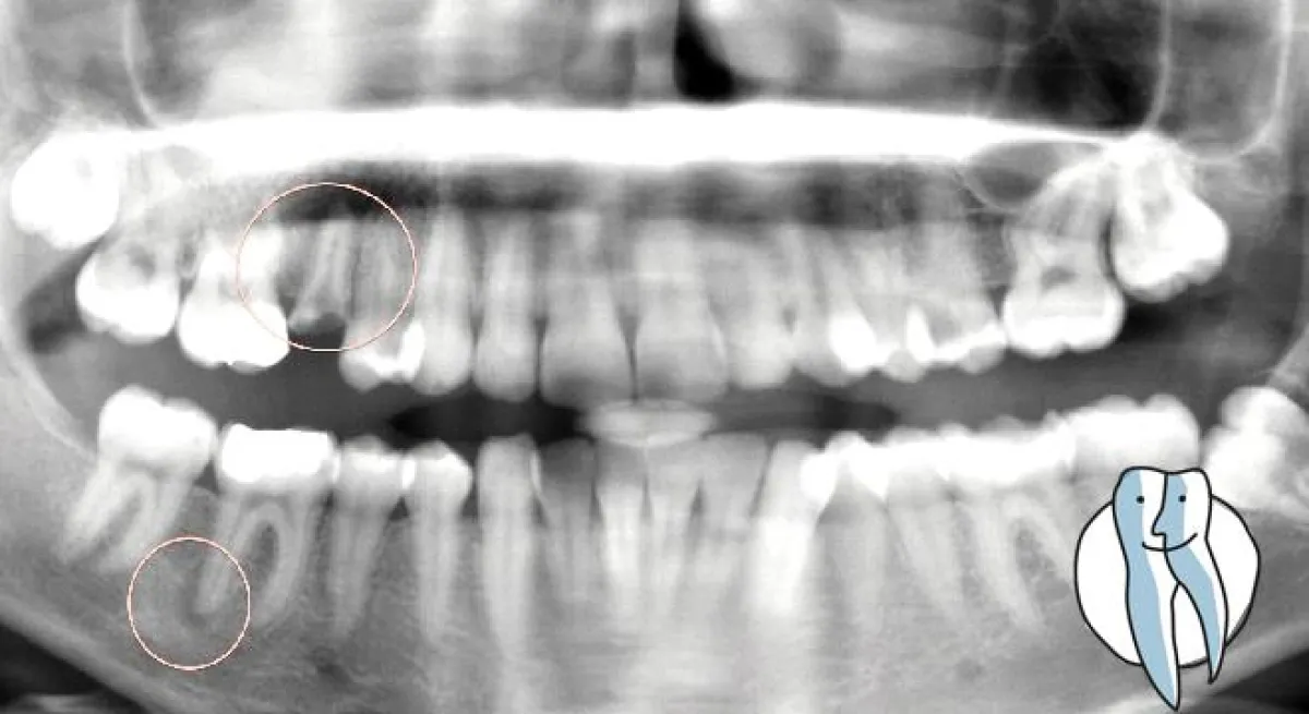
(openPR) Osterholz-Scharmbeck, den 07.04.2014: Ein Zahn leidet unter einer tiefen Karies, der empfindliche Nerv wird so stark gereizt, dass er sich entzündet. Diese Entzündung breitet sich bis in den umliegenden Knochen aus, mit der Folge, dass auch ausserhalb des Zahnes Nerven und Blutgefässe erst entzünden, dann absterben. In der Folge wird der Zahn von innen nicht mehr durchblutet, somit nicht mehr ernährt, das Immunsystem des Zahnes ist nur noch stark vermindert wirksam. Der Zahn wird dunkel und spröde, eine Füllung ist nur noch schwer dauerhaft zu verkleben. In den meisten Fällen raten wir zu einer Wurzelkanalbehandlung mit anschliessender Überkronung.
Das Absterben muss nicht einmal mit deutlichen Schmerzen verbunden sein. Wenn das Nerv- und Gefässbündel, die sogenannte Pulpa, erst einmal gereizt ist, können wir Zahnärzte von aussen nur schlecht behandeln. In den meisten Fällen stirbt der Nerv in der Folge ab. Es muss aber nicht immer mangelnde Zahnpflege die Ursache sein: Auch Verletzungen des Zahnes durch einen Unfall, oder nächtliches Knirschen kann zu einer Überbelastung führen.
Der abgestorbene Zahn fällt auch nicht zwangsläufig aus, häufig merkt der Betroffene gar nichts am Zahn. Es kommt zu einer leichten Aufbissempfindlichkeit, zu einer gesteigerten heiss/kalt Empfindlichkeit. Unser Tip ist es daher auch bei leichten Beschwerden diesen Zahn kontrollieren zu lassen. Oft bringt ein Röntgenbild eine Entzündung an der Wurzelspitze zutage.













