(openPR) Gleichgültig, ob Kronen, Brücken, Veneers oder Bleaching – für jede medizinische oder kosmetische Zahnbehandlung müssen Patienten hierzulande auch nach der Gesundheitsreform 2007 tief in die Tasche greifen. Wie gut, dass die Dentaprime-Zahnklinik im bulgarischen Varna modernste und erstklassige Zahnmedizin zu deutlich niedrigeren Preisen anbieten kann, berichtet heute das Zentrum für Ernährungskommunikation und Gesundheitspublizistik (ZEK) in Köln. Was der großen Koalition mit ihrer kürzlich verabschiedeten Gesundheitsreform 2007 nicht gelang, ist für die Dentaprime-Zahnklinik längst Realität: die Ausgaben der Versicherten für die (Zahn-)Gesundheit spürbar zu senken. An der bulgarischen Schwarzmeer-Küste, direkt am Feriengebiet Goldstrand gelegen, bietet die Klinik eine der modernsten Einrichtungen für Zahnimplantate und Zahnästhetik weltweit. Die hier genutzten medizinischen Hightech-Geräte kommen in Westeuropa nur selten und in sehr teuren Zahnkliniken zum Einsatz, erklärt ZEK-Redakteur Dipl. oec. troph. Thomas Reiche. Mit dem EU-Beitritt Bulgariens Anfang dieses Jahres können deutsche Patienten noch günstiger in den Genuss dieser erstklassigen zahnmedizinischen Leistungen kommen. Erfolgt die Behandlung in einem EU-Land, übernehmen die gesetzlichen Krankenkassen durch sogenannte befundbezogene Festzuschüsse einen Großteil der Kosten. Und zwar in jedem Fall und auch für aufwendigere Versorgungsformen wie den implantatgestützten Zahnersatz. Dank dieser Festzuschüsse und der Standortvorteile können Patienten nun – trotz der Reisekosten – bis zu 60 Prozent des Eigenanteils sparen. Damit werden Zahnästhetik und Zahnimplantologie auf höchstem Niveau auch für Normalverdiener erschwinglich, freut sich ZEK-Sprecher Sven-David Müller-Nothmann. Auch die rechtliche Absicherung der Dentaprime-Patienten ist überdurchschnittlich gut: Mit der DentaFair-Garantie verpflichtet sich die Zahnklinik, in Streitfällen dem Schlichtungsspruch der zuständigen Stelle im Heimatland des Patienten uneingeschränkt Folge zu leisten. Darüber hinaus gewährt die Klinik fünf Jahre Garantie auf alle zahntechnischen Arbeiten. Der Garantieanspruch gilt somit drei Jahre länger als es das Sozialgesetzbuch in Deutschland vorschreibt.
Neben modernster zahnmedizinischer Ausstattung und besten Materialien glänzt die Dentaprime-Klinik mit einem berufserfahrenen Top-Personal. Dieses besteht aus deutschsprachigen Zahnärzten, Implantologen, Anästhesisten, Zahntechnikern und medizinischen Assistenten. Auch das stilvolle Ambiente trägt dazu bei, dass sich die Patienten wohlfühlen. Eher an ein exklusives Hotel als an eine Zahnarzt-Praxis erinnert dabei die großzügige und helle Architektur der Dentalklinik: Insgesamt sieben Implantations- und fünf Prothetikräume stehen hier den Patienten zur Verfügung. Ausgestattet sind sie mit modernsten medizinischen Geräten des deutschen Weltmarktführers KaVo. Herzstück der ausgefeilten Implantattechnik ist ein digitaler 3D-Volumentomograph, der „NewTom“: Seine dreidimensionalen Abbildungen der Zahn- und Kieferverhältnisse ermöglichen äußerst präzise den optimalen Sitz der Zahnimplantate. Bei ihnen setzt die Detaprime-Klinik auf Produkte des Marktführers „3I“ aus den USA in Kombination mit Vollkeramik-Kronen und -brücken aus Zirkonium. Dieser zahnfarbene Keramikwerkstoff ist äußerst hart und biegefest, und bietet eine perfekte Ästhetik. Er ist biokompatibel und somit allergiefrei. Im klinikeigenen Zahntechniklabor hergestellt, haben Zirkonium-Kronen den Vorteil, dass sie von echten Zähnen nicht zu unterscheiden sind, weil sie das Licht leicht durchschimmern lassen. Aufgrund dieser fehlenden Transluzenz wirken dagegen die häufig eingesetzten Keramikverblend-Kronen künstlich. Das Sparpotenzial bei Zahnimplantaten ist enorm: So ist das hochwertigste System mit einer Vollkeramik-Krone bei Detaprime bis zu 2.550 Euro günstiger als in Deutschland.
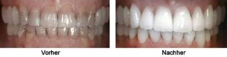
Doch es muss nicht unbedingt eine zahnmedizinische Gesamtsanierung sein damit sich die Anreise nach Varna lohnt. Nur gute drei Stunden Flugzeit von Deutschland entfernt, lässt sich am Goldstrand vortrefflich ein entspannender (Kurz-)Urlaub mit einer kosmetischen Behandlung in der Klinik verbinden. So bietet sich bei leichten Zahnverfärbungen das professionelle Ultraschall-Bleaching an: Es ist absolut zahnschonend und kostet inklusive einer professionellen Zahnreinigung bei Detaprime knapp 200 Euro. In Deutschland sind hierfür 500 bis 650 Euro fällig. Bei stark verfärbten Zähnen (z. B. durch das Antibiotikum Tetracyclin) sowie bei Zahnfehlstellungen und Erosionen ist meist eine Behandlung mit sogenannten Veneers erforderlich. Dies sind fast durchscheinende Verblendschalen aus Keramik, die nur den sichtbaren Teil des Zahns abdecken. Sie ermöglichen eine deutlich hellere Zahnfront als dies mit Bleaching zu erreichen ist. In nur einer Woche kann ein Versorgung mit Veneers erfolgen. Pro Veneer zahlt der Patient nur 300 Euro, in Deutschland hingegen fallen hierfür bis zu 1.000 Euro an. Doch egal, ob Implantat, Bleaching oder Veneers – nach jeder Behandlung in der Dentaprime-Zahnklinik kehren die Patienten mit mehr Lebensfreude und einem natürlich-strahlenden Lächeln vom Goldstrand zurück. Weitergehende Informationen zur Detaprime-Zahnklinik können qualitäts- und preisbewusste Patienten unter www.dentaprime.com finden.
Journalistenservice: Die nächste Pressereise zur Dentaprime-Zahnklinik nach Varna findet am 1. und 2. September 2007 statt. Anmeldungen.
Das Zentrum für Ernährungskommunikation und Gesundheitspublizistik (ZEK) mit Sitz in Köln widmet sich insbesondere der individuellen Ernährungsberatung und betreibt wissenschaftlich begründete publikumsorientierte Presse- und Öffentlichkeitsarbeit im Bereich Ernährung, Prävention und Diätetik. Der bekannte Medizinpublizist Sven-David Müller-Nothmann leitet das ZEK. Zentrum für Ernährungskommunikation und Gesundheitspublizistik (ZEK), Sven-David Müller-Nothmann, Gotenring 37, 50679 Köln-Deutz, 0177-2353525, http://www.nutrimedic.de










