(openPR) Die „Gesunde Gemeinde Eningen“ lädt im Rahmen des „Demenzjahres 2016“ zu einem Informationsabend mit dem Chefarzt der Unfallchirurgie, Orthopädie und Sportmedizin, sowie der Pflegedirektorin der Kreiskliniken Reutlingen zum Thema Gelenkersatz und Demenzsensibles Krankenhaus.
Wenn es nicht mehr geht, wenn Muskelaufbau und Medikamente nicht mehr greifen, hilft eine Operation. Die Fortschritte im Bereich des Gelenkersatzes machen inzwischen auch schonende minimalinvasive Behandlungen möglich. Demenzpatienten benötigen bei der Versorgung eine besondere Fürsorge. An einem Informationsabend am 7. Juni ab 19:30 im Seniorenzentrum St. Elisabeth berichten Chefarzt Dr. med. Klaus Kolb und Pflegedirektorin Dr. rer. cur. Sabine Proksch von den modernen Möglichkeiten und stellen sich den Fragen der Zuhörer.
„Die Kreiskliniken Reutlingen begrüßen die Zusammenarbeit mit dem Arbeitskreis „Gesunde Gemeinde Eningen“ sehr,“ erklärt Eckhard Zieker, Sprecher der Kreiskliniken Reutlingen, „durch die kürzer werdende Verweildauer wird die Verzahnung vom stationären Bereich zur ambulanten Versorgung immer wichtiger.“ Schließlich ist „Kompetenz in Medizin und Pflege“ der Leitgedanke des Verbundes von 3 Kliniken, dem Klinikum am Steinenberg in Reutlingen, der Ermstalklinik in Bad Urach und der Albklinik in Münsingen, die die Kreiskliniken Reutlingen GmbH bilden. Mit rund 2.000 Beschäftigten, circa 36.000 stationären und 80.000 ambulanten Patienten pro Jahr ist sie der größte kommunale Arbeitgeber der Region.
Nach der Zertifizierung Eningens als „Gesunde Gemeinde“ im Landkreis Reutlingen hatte Frau Dr. Barbara Dürr, Leiterin des Gesamtarbeitskreises „Gesunde Gemeinde“, die Kooperation mit den Kreiskliniken initiiert. Gerade die im Arbeitskreis bereits bestehende Vernetzung und das von den Mitgliedern geschaffene Forum bilden eine gute Grundlage für einen Austausch und Ergänzungen im Angebot der Gesundheitsfürsorge. So gehört zur neuen Kooperation auch eine Reihe von Vorträgen, für die der Informationsabend am 7. Juni den Auftakt bildet.
Ralf Egenolf-Stohr und Sabine Fieselmann als Verantwortliche des „Netzwerk Demenz“ freuen sich, so hochrangige Vortragende im Rahmen des vom Arbeitskreis ausgerufenen „Jahres der Demenz 2016“ gewonnen zu haben. „Das neue Projekt der Demenzsensiblen Versorgung in den Kreiskliniken Reutlingen passt hervorragend zu unserem Thema!“
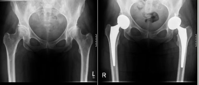
Dr. med. Klaus Kolb ist Chefarzt der Klinik für Unfallchirurgie, Orthopädie und Sportmedizin. Hier werden jährlich mehr als 400 Prothesen an Hüfte und Knie eingesetzt. Die Operateure verfügen dabei über eine jahrelange Erfahrung auch in minimalinvasiven Verfahren für eine größtmögliche Schonung des umgebenden Gewebes. In seinem Vortrag wird Dr. med. Kolb über neue Implantate und Erkenntnisse berichten, die zu deutlich verbesserten Ergebnissen führen. Während bei jüngeren Patienten eher die Leistungsfähigkeit im Vordergrund steht, richtet sich das Behandlungsziel bei älteren Patienten stärker auf die Schmerzreduktion und den Erhalt der Mobilität im gewohnten sozialen Umfeld. Dazu gehören auch Vorkehrungen, um die gewonnene Verbesserung Zuhause zu erhalten.
Gerade für demenzkranke Patienten ist das Krankenhaus ein schwieriges Umfeld, auf das sie häufig mit Angst, Verwirrung, Weglaufen und Aggressivität reagieren. Mobilisation, Körperpflege und Ansprache bedeuten einen erheblichen Mehraufwand. Dr. rer. cur. Sabine Proksch, die Pflegedirektorin der Kreiskliniken Reutlingen, wird in ihrem Vortrag an diesem Abend das neue Projekt der Kreiskliniken zur Betreuung demenzkranker Patienten vorstellen. „Jedes Verhalten hat einen Grund,“ davon ist sie überzeugt, „eine Haltung des Verstehens zu entwickeln ist eine wichtige Voraussetzung für den Umgang mit Menschen, die sich nicht mehr adäquat mitteilen können.“ Eine solche „Verstehende Diagnostik“ ist Teil des Projekts in den Kreiskliniken Reutlingen“.
Sowohl Dr. Klaus Kolb als auch Dr. Sabine Proksch stehen nach ihren Vorträgen für Fragen und Anregungen der Zuhörer zur Verfügung. Der kostenlose Informationsabend findet im Rahmen des Programms zum „Demenzjahr 2016“ des Arbeitskreises „Gesunde Gemeinde Eningen“ statt.













