(openPR) Notfallplan für Hufrehepferde und deren Besitzer
Immer wieder teilen uns Pferdebesitzer mit, dass sie sich nach der Diagnose „Hufrehe“ absolut überfordert und hilflos fühlen. Dann wird im Internet nachgesehen und überall stehe etwas anderes. Am Schluss habe man 100 Meinungen, was zur Entspannung der Lage auch nicht gerade förderlich sei. Wir wurden gebeten einen Notfallplan ins Netz stellen und Ratschläge abgeben, wie mit einer solchen Situation umzugehen sei und einmal klipp und klar zu erklären, was in dieser Situation eigentlich genau ablaufe.
Das machen wir gerne!
Sobald ein Pferdebesitzer feststellt, dass bei seinem Pferd irgendetwas nicht mehr ganz stimmt – beispielsweise: mein Pferd bewegt sich schlecht, mein Pferd ist plötzlich sichtlich verspannt, mein Pferd bewegt sich wie wenn es auf einer heissen Herdplatte steht, mein Pferd steht apathisch herum, mein Pferd ist so ganz anders und unruhig usw. - sollte in jedem Fall ein erfahrender Pferdetierarzt beigezogen werden. Wird dann tatsächlich eine Hufrehe diagnostiziert, wird dem Pferd in der Regel als Erstversorgung durch den Tierarzt ein Entzündungshemmer/Schmerzmittel verabreicht.
1. Hufeisen entfernen!
Damit erreichen wir, dass der Huf vollständig durchblutet werden kann. Schützen Sie Ihr Pferd gegen den Druck vom Boden auf das Hufbein mittels eines 2 cm dicken Comfortpads. Dieses wir mit Klauenband an der Hornkapsel befestigt. Ihr Pferd wird es Ihnen danken – nicht zu vergessen wird so einer Deformation der Hufbeinspitze vorgebeugt.
2. Höherstellen der Trachten
Gegebenenfalls wird das Pferd auf den Trachten erhöht. Dies ist auch gemäss unseren Erfahrungen absolut richtig und erleichtert dem Pferd das Stehen da entsprechend Last aus der tiefen Beugesehne genommen wird. Diese führt ja bekanntlich hinter dem Strahlbein durch und ist an der Hufbeinspitze angemacht. Ein Höherstellen der Trachtenenden mindert somit den Zug auf die Tiefe Beugesehne, entlastet den Strahlbeinbereich resp. den Hufrollenbereich und verringert somit den Zug auf das Hufbein selbst.
Die Hufbeinspitze wird durch diese Massnahme nicht noch zusätzlich gegen den Boden gezogen.
Auf gar keinen Fall darf – aus welchen Gründen auch immer – das Pferd im Trachtenbereich „heruntergenommen“ sprich eingekürzt werden. Wir haben auch eine solche Technik bereits angetroffen – mit verheerender Wirkung für das Pferd, da ein solches Vorgehen unweigerlich zur Förderung der eintretenden Ischämie (Zerreissen der Plättchenstruktur der Weissen Linie) beiträgt. Eine Hufbeinrotation wird dadurch gefördert!
3. Kühlen, kühlen, kühlen
Das Pferd befindet sich bei einem Hufreheschub in einer Entzündungsphase im betroffenen Huf. Bekanntlich ist das Hufbein an der Weissen Linie in der Hornkapsel aufgehängt – also im Normalfalle optimal stossgedämpft. Diese „Aufhängung“ zerreisst - hervorgerufen durch die sich im Huf befindliche Entzündung – immer mehr, solange sich das Pferd in der Akutphase befindet. Diesem Umstand muss nun schnellsten Einhalt geboten werden! Neueste Studien zeigen auf, dass durch das sofortige Kühlen bei einem Hufreheschub wesentlich kleinere Schäden am Hufbeinträger (Weisse Linie) festzustellen sind. Um es nochmals zu wiederholen: Ein Hufbein rotiert oder sinkt solange, wie ein starker Puls in der Fesselbeuge und erhöhte Temperatur an der Hornkapsel und am Kronsaum des Pferdes festzustellen sind. Diese bereits erwähnten Studien – eine haben wir auf unserer Seite ins Netz gestellt - und unsere gemachten Erfahrungen, haben aufgezeigt, dass durch starkes Kühlen – mindestens mit 2° Celsius, also mit Eis – die Tortur der Pferde wesentlich abgekürzt werden kann. Entsprechend schneller kann auch mit dem Entzündungshemmer/Schmerzmittel „heruntergefahren“ werden. Bitte beachten Sie, dass das Kühlen mit Leitungswasser mit ausreicht, da dies im Normalfalle bestenfalls eine Temperatur von ca. 6° Celsius aufweist. Sollte dem Pferdebesitzer kein Eis, oder dies in nicht in genügender Menge zur Verfügung stehen, bleibt die Kühlung mittels Schlauch immer noch eine wesentlich bessere Variante, als gar keine Kühlung! Im Normalfalle bleibt somit das Kühlen der Hufe mit Eis die einzige Alternative – es sei denn, das Pferd kann in eine Badewanne - welche speziell für Kryotherapie (Kältetherapie) gebaut wurdet, gestellt werden. Wir haben eine solche Badewanne gemäss den Studien von Christopher Pollitt/Andrew Van Eps von der University of Queensland (Australien) nachgebaut und im Sommer 2013 in Betrieb genommen. Die neuesten Forschungsberichte aus Australien können wir vollumfänglich bestätigen.
Und so kann der Besitzer eines akuten Hufrehepferdes erheblichen Anteil an der Genesung seines Tieres nehmen!
Was ist zu tun und wie ist dabei vorzugehen?
Ziehen Sie Ihrem Pferd an den betroffenen Hufen eine Socke über und füllen Sie die Socke mit blanken Eisstücken. Der zu kühlende Bereich liegt im Kronsaumbereich.
Achtung: In der Fesselbeuge sollten sich keine Eisstücke befinden!
Sollte Ihr Pferd anfällig auf Mauke sein, muss die Region der Ballen und Fesselbeuge mit Vaseline geschützt werden.
Achten Sie ferner darauf, dass Sie keine kantigen Eiswürfel verwenden. Ideal sind Eiswürfel, welche für Drinks von Grossverteilern angeboten werden. Und nun ist der Pferdebesitzer gefordert! Sobald die Eisstücke geschmolzen sind, müssen Neue nachgelegt werden. Es ist ganz wichtig, dass der Kühlprozess niemals unterbrochen wird. Je nach Schweregrad der Entzündung werden dafür 24 – 72 Stunden benötigt. Eine lange Zeit – aber es lohnt sich!
Kontrollieren Sie dabei immer wieder den Pulsschlag in der Fesselbeuge. Er sollte, je länger gekühlt wird, immer schwächer werden. Auch das Eis wird immer langsamer schmelzen und die Abstände für das „Nachlegen“ werden immer länger. Bei Hufschuhen ist Vorsicht geboten. Sie dürfen den Kühlvorgang nicht behindern und auf keinen Fall Wärme fördern. Nochmals – die Wärme muss aus dem Huf abgeführt werden!! Es versteht sich von selbst, dass auch Verbände nicht angebracht werden dürfen. Auch bei Cool-Pads ist Vorsicht geboten. Nach einer gewissen Zeit bewirken sie das Gegenteil – sie wärmen. Verwenden Sie aus diesem Grund ausschliesslich Eiswürfel.
Sollte die Zeit kommen und kein erhöhter Pulsschlag mehr festgestellt wird, ist ein grosser Teil geschafft! Ihr Pferd beginnt sich in der Regel nun aus eigenem Antrieb wieder vermehrt zu bewegen. Nun beginnt die heikle Phase des Absetzens der Medikamente. Fahren Sie langsam die Medikamente herunter und kontrollieren Sie regelmässig den Puls. Konsultieren Sie zur Absetzung auch Ihren Tierarzt. Dieser kann Ihnen Angaben zur Dosierung der Schmerzmittel/Entzündungshemmer machen. Behalten Sie jedoch unbedingt den Kühlprozess bei! Erst wenn der Puls als normal angesehen werden kann und sämtliche Medikamente abgesetzt sind, ist die Schlacht geschlagen und gewonnen.
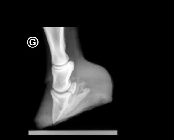
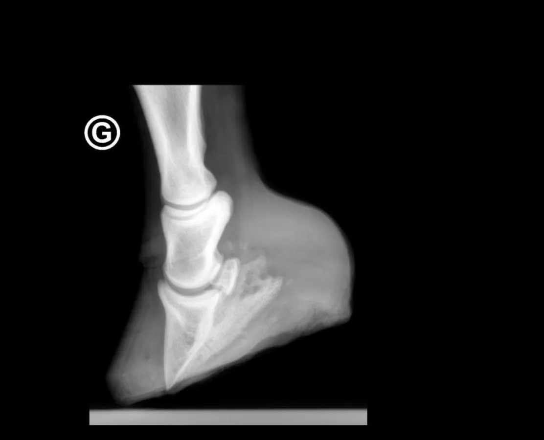
Wir möchten Ihnen noch aufzeigen, was mit dieser Methode gemacht werden kann. Das obenstehende Röntgenbild zeigt die Situation einer Schweizer Warmblutstute mit einem 14-tägigen Fohlen bei Fuss. Aus Sicht mehrerer Mediziner war die Stute verloren, da sie kurz vor einem Hufbeindurchbruch stand. Zudem begann von der Mitte her der Kronrand aufzuplatzen, was im Normalfalle auf das „Ausschuhen“ eines Hufrehepferdes hindeutet.
Nur in einer aufwendigen „Kühlaktion“ - über 14 Tage - konnte die Stute gerettet werden. Sie ist, zusammen mit ihrem Fohlen wohlauf und bewegt sich mit Hufschuhen einwandfrei. Wir sind uns bewusst, dass das Anbringen von Eiswürfeln jede Stunde – besonders Nachts – ein grosses Engagement erfordert. Der Erfolg wird jedoch für alle Beteiligten die schönste Belohnung sein!
Die Fragen aller Fragen: Gesundes Pferd - oder Pferd mit chronischer Hufrehe?
Damit ist jedoch erst der erste Teil der Uebung abgeschlossen. Wir haben sehr wohl durch das Stoppen der Entzündung eine weitere Rotation des Hufbeines oder eine Hufbeinsenkung verhindert, müssen uns jedoch bewusst sein, dass die Position des Hufbeins innerhalb der Hornkapsel immer noch nicht stimmt. Trotz aller vorangegangener Bemühungen hat sich an der Lage des Hufbeines nichts verändert - ausser dass es nicht mehr weiter rotiert oder sogar absinkt! In diesem Falle sprechen wir von einem chronischen Hufrehepferd!
Im Normalfalle werden so Pferde aus einem Tierspital entlassen. Das Tier ist entzündungs- und schmerzfrei und wird mittels orthopädischem Beschlag als gesund nach Hause entlassen. Der orthopädische Beschlag hat jedoch lediglich die Eigenschaft, die Distanz der rotierten Hufbeinspitze zum Boden zu vergrössern. Durch die eingeschränkte Durchblutung - hervorgerufen durch den Beschlag selbst - sowie durch die Vergrösserung des Bodenabstandes zum Hufbein wird das Pferd sofort wieder eingesetzt werden können.
Wir sollten uns jedoch bewusst sein, dass wir es in einem solchen Falle, Zeit seines Lebens, mit einem chronischen Hufrehepferd zu tun haben. Obwohl das Pferd sich scheinbar ohne Probleme bewegt – manchmal treten Probleme bei Wendungen und/oder beim Bergabgehen auf - liegen seine Hufbeine nach einer durchstandenen Hufrehe innerhalb der Hornkapsel immer noch falsch. Und auch eine Rotation von 4° ist eine chronische Hufrehe - wenn auch nur eine leichte Rotation vorliegt - es ist schlicht und ergreifend eine nicht „reparierte“ Hufrehe. Das wollen viele Pferdebesitzer nicht verstehen. Nehmen wir doch folgendes Beispiel: Man (Frau) ist schwanger oder nicht schwanger – ein bisschen schwanger gibt es nicht! Eine chronische Hufrehe unterliegt auch keinem Heilungsprozess - das rotierte Hufbein eines Pferdes kommt ohne die Hilfe des Menschen nicht mehr richtig in der Hornkapsel zu liegen.
Wie ist das weitere Vorgehen um das Hufbein wieder richtig positionieren?
Es bedarf viel Erfahrung und der entsprechenden Infrastruktur um sich an eine solche „Reparatur“ heranzuwagen. Durch einen orthopädischen Schnitt kann jedoch ein rotiertes Hufbein wieder in die richtige Position gebracht werden. Dies können wir mit zahlreichen Röntgenbildern vorher/nachher aufzeigen. Die ganze Behandlung dauert in der Regel 6-12 Monate. Abhängig davon ist das Alter des Pferdes sowie der Stoffwechsel des betreffenden Tieres. Das Pferd läuft während dieser Behandlungszeit völlig schmerzfrei. Es sollte sich jedoch unbedingt in Gruppenfreilaufhaltung mit anderen „Leidensgenossen“ bewegen können. Unsere Erfahrungen haben gezeigt, dass der Sozialkontakt zur Förderung der Gesundung eines Pferdes erhebliche beiträgt. Die Integration eines „Pferdes mit vorangegangener Hufrehe“ bedarf in diesem Falle jedoch auch grosser Erfahrung, die entsprechenden Voraussetzungen sowie genügend Zeit. Oftmals müssen mehrere Pferdegruppen zusammengestellt werden. Die oftmals gehörten Einwände - „ mein Pferd kann dies nicht“ - können wir so also nicht gelten lassen. Hier muss an den Eigennutz des betreffenden Pferdebesitzers appelliert werden!
Für ein Pferd sind ein neuer Ort sowie neue Artgenossen eine absolut spannende Erfahrung. Die Tiere werden im Kopf klarer und beschäftigen sich nicht dauernd mit ihren Hufen.
Hand aufs Herz: Geht es uns während und nach einem Spitalaufenthalt nicht gleich?
Doch den eigentlichen Grund - warum ein Pferd die Qualen einer Hufrehe durchlaufen kann oder muss - haben wir bis jetzt noch gar nicht angesprochen. Der Hauptauslöser ist im Verdauungssystem eines Pferdes zu suchen. Dort befinden sich Bakterien, welche auf Aenderungen in ihrer Lebensgewohnheiten äusserst heikel reagieren. Stellt man beispielsweise das Futterangebot von Heu auf Heulage oder sogar Silage von einem Tag auf den anderen um, geraten diese angesprochenen Bakterien in „Stress“ und scheiden ein Toxin aus. Jede Futterumstellung sollte demnach äusserst langsam und vorsichtig vorgenommen werden. Vorsicht ist auch mit Medikamenten geboten – konsultieren Sie deshalb unbedingt Ihren Tierarzt. „Gestresste „ Bakterien im Verdauungstrakt können in der Regel eine sofortige Hufrehe auslösen.
Was läuft dann genau ab?
Wir haben sehr lange Zeit gebraucht bis wir die ganzen Zusammenhänge verstanden haben. Nachstehend können wir Ihnen die Lösung erklären. Wir müssen dazu den Huf genauer unter die Lupe nehmen:
Bekanntlich ist die Weisse Linie die Verbindungsstelle zwischen Hornkapsel und dem untersten Knochen des Pferdes - dem Hufbein. Das Hufbein ist somit an der Weissen Linie in der Hornkapsel aufgehängt. Schaut man genauer hin, kann die Weisse Linie als Plättchenstruktur erkannt werden.
Eine Vergrösserung zeigt uns diese Plättchen, welche wie Tannenäste ineinandergreifen. Auf der einen Seite ist die Hornkapsel – auf der anderen Seite das Hufbein.
Die Extremitäten des Pferdes sind somit optimal gegen Stösse geschützt - zu vergleichen ist dies mit der Stossdämpfung eines Autos. Das Hufbein hat somit die Möglichkeit in die Hornkapsel „hineinzufedern“ und danach seine ursprüngliche Position wieder einzunehmen. Es ist fast nicht zu glauben, jedoch ist das gesamte Pferd an seiner Weissen Linie - oder auch Hufbeinträger genannt - „aufgehängt“.
Im Zuge der Verständlichkeit der ganzen Problematik müssen wir einen kleinen Exkurs in die Lebensgrundlagen von Pferden machen:
Pferde sind praktisch überall in der Welt anzutreffen. Im Laufe der Evolution haben sich Pferde so angepasst, dass sie auch in den härtesten Klimazonen überleben können. Die Natur hat Equiden so ausgestattet, dass sie sowohl Temperaturen von -30° Celsius (und weniger) bis hin zu 50° Celsius (und mehr) unbeschadet überstehen können. Grundvoraussetzung dafür ist jedoch die Sicherstellung von genügend Wasser und dem entsprechenden Angebot an Rauhfutter.
Zurück zu den Hufen - Pferde welche monatelang in Schnee und Eis verharren, zeigen keinerlei Probleme mit ihren Hufen, obwohl eigentlich die Weisse Linie, welche als Haut angesehen wird, erfrieren müsste. Bergsteiger können von erfrorenen Gliedmassen innert kürzester Zeit ein Liedchen singen. Der springende Punkt liegt darin, dass die Huflederhaut sehr wohl als Haut angesehen wird, jedoch nicht wie die Haut (Epidermis) eines Menschen funktioniert und ganz spezielle Eigenschaften aufweist.
Um Erfrierungen vorzubeugen liegen in dieser Huflederhaut – also der Weissen Linie – Ventile, sogenannte Arteriovenöse Anastomosen kurz AVA, welche sich schliessen und öffnen können und so die Blutzufuhr in der Blättchenstruktur regulieren. Ist der Huf also Kälte ausgesetzt, schliessen sich diese „Ventile“ und sichern durch eine starke Durchblutung das Erfrieren der Blättchenstruktur.
Eine Ischämie (Zerreissen der Blättchenstruktur) wird also durch die starke Durchblutung und somit durch die Aufrechterhaltung der Wärme innerhalb des Hufbeinträgers (Weisse Linie) mit körpereigenem Blut unterbunden.
Das Gegenteil ist bei grosser Hitze festzustellen. Damit die Körpertemperatur im Pferd nicht ansteigt, werden durch Reflexe die Ventile teilweise geöffnet und die Blutzufuhr zur Weissen Linie wird gedrosselt. Die Blättchenstruktur wird somit nicht mehr in dem Umfange durchblutet, wie es bei grosser Kälte geschehen würde.
Die Evolution des Pferdes hat hier also Grossartiges geschaffen, welches den Equiden jedoch bei einer Entzündung im Huf zum Verhängnis werden kann.
Man nimmt an, dass Botenstoffe Funktionen im Gehirn des Pferdes auslösen, die „Ventile“ in der Weissen Linie bei einer Entzündung innerhalb des Körpers zu öffnen. Bis jetzt tappt die Wissenschaft über den genauen Ablauf dieser Vorgänge noch im Dunkeln. Gehen wir jedoch davon aus, dass eine Entzündung im Huf die AVA’s öffnen und somit der Programmfehler im Hirn des Pferdes unweigerlich zu einer Ischämie des Hufbeinträgers führt, sollte demzufolge das Gegenteil durch Zuführung von Kälte bewirkt werden können. Gehen wir also hin, und gaukeln dem „Zentralcomputer“ des Pferdes vor, es sei im Hufbereich sehr kalt, so werden sich reflexartig die Ventile (AVA’s) schliessen und Blut wird in die feinsten Stukturen des Hufbeinträgers einschiessen.
Mit unserer Aktion manipulieren wir also das Pferd – im wahrsten Sinne des Wortes - zu seinen eigenen Gunsten.
Die Studien von Christopher Pollitt/Van Eps, auf welche wir schon hingewiesen haben, sowie unsere Erfahrungen mit über 100 Hufrehepferden bestätigt diese Annahme vollumfänglich. Die Zufuhr von Kälte - hier sprechen wir von einer Temperatur von 2° Celsius und weniger - die Temperatur von Leitungswasser (6-8° C) genügt nicht - schliesst die „Ventile“ in der Huflederhaut und eine Hufbeinrotation sowie auch eine Hufbeinsenkung kann - in der Regel - unter der Zuhilfenahme der entsprechenden Entzündungshemmern/Schmerzmittel - innerhalb von 48 – 72 Stunden gestoppt werden. Grundvoraussetzung ist die Gewährleistung einer permanenten Kühlung während der Akutphase mit Eis oder heruntergekühltem Wasser (Kryotherapie). Es empfiehlt sich, den Kühlprozess auch während dem „Herunterfahren“ der Medikamente beizubehalten.
Wir hoffen, dass wir Ihnen dieses Problem anschaulich genug geschildert haben. Sicherlich werden Sie nun auch verstehen, warum Hufverbände oder sogar Gipsverbände an akuten Hufrehepferden nichts zu suchen haben. Damit wird die Hitze innerhalb des Hufes gefördert statt abgeführt. Dies ist auch der Grund, warum ein akutes Hufrehepferd wochenlang nicht aus seiner Entzündungsphase herauskommt – es befindet sich in einem Teufelskreis. Ein solches Prozetere ist auch mit dem „Weicherstellen“ des Pferdes oder gar der Verhinderung der Rotation des Hufbeines nicht zu entschuldigen.
Ein solches Vorgehen ist - egal woher diese Information auch stammen mag - schlichtweg falsch!!
Zuletzt noch folgende Anmerkung:
Zu einer Auslösung einer Hufrehe tragen in den meisten Fällen mehrere Faktoren bei. Das metabolische Syndrom (EMS) sowie auch Cushing (ECS) sind massgeblich zur Auslösung einer Hufrehe beteiligt. Ist Ihr Pferd durch eines dieser zwei Probleme vorbelastet, genügt in der Regel eine kleine Unregelmässigkeit um den „Supergau“ für das Pferd und dessen Besitzer auszulösen.
Für Fragen stehen wir Ihnen jederzeit gerne zur Verfügung.










