openPR Recherche & Suche
Presseinformation

Gesund bis in die Wurzel – moderne Verfahren machen es möglich

07.09.200712:26 UhrGesundheit & Medizin
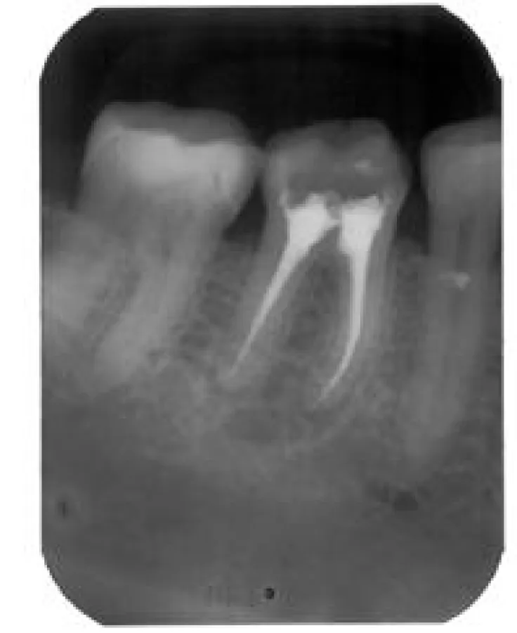
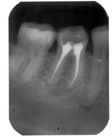
Bild: Gesund bis in die Wurzel – moderne Verfahren machen es möglich

(openPR) Zahnwurzelbehandlung: das Wort allein klingt schon schmerzhaft. Viele Menschen haben Angst eine solche Behandlung vom Zahnarzt vornehmen zu lassen. Doch die Mühe lohnt sich. Denn der Zahnerhalt durch eine Zahnwurzelbehandlung ist einem sonst notwendigen Zahnersatz meist vorzuziehen.
Mit dem eigenen Zahn bleiben normale Kaufunktion und das ästhetische Gesamtbild der natürlichen Zähne erhalten. Darauf weist die Deutsche Gesellschaft für Endodontie e. V. (DG Endo) hin.

Eine Zahnwurzelbehandlung ist nötig, wenn Karies bis zum Zahnmark der Wurzel vordringt, und so den Weg für gefährliche Bakterien freimacht. Die empfindlichen Nerven und Gefäße im Zahninneren werden von diesen Bakterien infiziert und entzünden sich. Dank modernster Geräte und technischer Innovationen lassen sich die Entzündungsherde heute jedoch mit großem Erfolg entfernen. Der Zahn wird aufgebohrt, um das infizierte Gewebe und die Bakterien aus dem Wurzelkanalsystem zu entfernen. Zum Abschluss der Wurzelbehandlung wird der gereinigte Zahn versiegelt. So kann er bei optimaler Versorgung ein Leben lang erhalten bleiben.

Weitere Informationen im Internet unter: www.dg-endo.de

Diese Pressemeldung wurde auf openPR veröffentlicht.

Verantwortlich für diese Pressemeldung:

News-ID: 156804
 1877

Kostenlose Online PR für alle

Jetzt Ihren Pressetext mit einem Klick auf openPR veröffentlichen

Jetzt gratis starten

Pressebericht „Gesund bis in die Wurzel – moderne Verfahren machen es möglich“ bearbeiten oder mit dem "Super-PR-Sparpaket" stark hervorheben, zielgerichtet an Journalisten & Top50 Online-Portale verbreiten:

PM löschen PM ändern
Disclaimer: Für den obigen Pressetext inkl. etwaiger Bilder/ Videos ist ausschließlich der im Text angegebene Kontakt verantwortlich. Der Webseitenanbieter distanziert sich ausdrücklich von den Inhalten Dritter und macht sich diese nicht zu eigen. Wenn Sie die obigen Informationen redaktionell nutzen möchten, so wenden Sie sich bitte an den obigen Pressekontakt. Bei einer Veröffentlichung bitten wir um ein Belegexemplar oder Quellenennung der URL.

Pressemitteilungen KOSTENLOS veröffentlichen und verbreiten mit openPR

Stellen Sie Ihre Medienmitteilung jetzt hier ein!

Jetzt gratis starten

Weitere Mitteilungen von Deutsche Gesellschaft für Endodontie e.V.

Bild: Zahnwurzelbehandlungen bald nicht mehr möglichBild: Zahnwurzelbehandlungen bald nicht mehr möglich
Zahnwurzelbehandlungen bald nicht mehr möglich
Neue Gebührenordnung des Gesundheitsministeriums verhindert erfolgreiche Therapie (dgendo) Erkrankte Zähne zu retten ist die Hauptaufgabe jedes Zahnarztes. Weil in den letzten 14 Jahren beim Zahnverlust kein Rückgang zu beobachten war, empfiehlt der Sachverständigenrat im Gesundheitswesen die Prävention und Therapie von Erkrankungen des Zahnnerves (Endodontologie) zu stärken. Doch der aktuelle Referentenentwurf des Gesundheitsminsteriums zur neuen Gebührenordnung für Zahnärzte lässt eine Behandlung nach aktuellen wissenschaftlichen Erkenntni…

Das könnte Sie auch interessieren:

Bild: Tausendsassa LöwenzahnBild: Tausendsassa Löwenzahn
Tausendsassa Löwenzahn
Löwenzahn ist ein wahres Wundermittel der Natur - und er wächst nahezu auf jeder Wiese. Von der Wurzel bis zur Blüte ist er für die Gesundheit zu verwenden. ------------------------------ Der Löwenzahn mit seiner leuchtend gelben Blüte ziert nahezu jede Wiese, jeden Straßenrand - überall macht er sich breit. Mit seiner wunderschönen Pusteblume und seinen …
Gesundes Osteressen gesucht, Meerrettich gefunden
Gesundes Osteressen gesucht, Meerrettich gefunden
… wieder möglichst traditionell begründete und verarbeitete Zutaten – Raspelstix sorgen für ein ursprüngliches Geschmackserlebnis – Die Weihspeise Meerrettich macht das Ostermenü lecker, gesund und hilft bei der Fettverbrennung – Kren-Qualität aus der Meerrettichstadt Baiersdorf – Marktführer Schamel Meerrettich BAIERSDORF – Lange bevor sich die Kinder …
Hyaluron: Neues Ratgeberportal irmgard-graef.de
Hyaluron: Neues Ratgeberportal irmgard-graef.de
… uns die Natur geschenkt, wir müssen es nur erhalten“, sagt die Stoffwechselexpertin Irmgard Maria Gräf. Auf ihrem neuen Ratgeberportal irmgard-graef.de verrät sie, wie das geht. Einfach gesund und schön Das Portal ist die richtige Adresse für alle, die mit Stress oder dem Körpergewicht kämpfen, auf das Alter pfeifen oder einfach jugendlich frisch aussehen …
Bild: Wundersamer Ingwer: kleine Knolle – große WirkungBild: Wundersamer Ingwer: kleine Knolle – große Wirkung
Wundersamer Ingwer: kleine Knolle – große Wirkung
So gesund ist der Besuch bei der Sushi-Bar Ingwer ist im wahrsten Sinne des Wortes in aller Munde: Ob in Smoothies, als kandierte Stäbchen oder zum Sushi – die scharfe Knolle kann ganz schön viel. In der Küche zaubert sie leicht scharfe Aromen in unsere Gerichte und in unserem Körper bewirkt sie wahre Wunder. Die heilende Wirkung haben die Chinesen schon …
Bild: Ingwer als SuperwurzelBild: Ingwer als Superwurzel
Ingwer als Superwurzel
Ein Tipp zum abnehmen?Gesund durch den Winter? Dem Körper einfach etwas Gutes tun? Die Wurzel der Ingwerpflanze hat ganz besondere Eigenschaften und ist in vielerlei Hinsicht gesund, bzw. gesundheitsfördernd. Die Ingwerwurzel enthält viel Vitamin C und hilft damit besonders bei Erkältungen. Außerdem hemmt die Wurzel die Blutgerinnung und schützt vor …
Bild: Für Freunde des guten Geschmacks: Im Bayerischen Meerrettich stecken 500 Jahre ErfahrungBild: Für Freunde des guten Geschmacks: Im Bayerischen Meerrettich stecken 500 Jahre Erfahrung
Für Freunde des guten Geschmacks: Im Bayerischen Meerrettich stecken 500 Jahre Erfahrung
… Krenstangen werden vor der weiteren Verarbeitung handverlesen und geputzt. „Bei uns kommt ausschließlich Meerrettich bester Qualität ins Glas, der nur nach traditionellen Verfahren verarbeitet werden darf“, erklärt Schamel. Dazu gehört auch, dass das bayerische Qualitätsprodukt nicht mit künstlichen Konservierungsstoffen behandelt wird. Im Gegensatz zu …
Zähne an der Wurzel packen - Wurzelspitzenresektion unterstützt Zahnerhalt bei Entzündungen
Zähne an der Wurzel packen - Wurzelspitzenresektion unterstützt Zahnerhalt bei Entzündungen
… nächsten Schritt säubern wir den gesamten Bereich der Wurzelkanäle, desinfizieren ihn und verschließen alles, um neuen Entzündungen vorzubeugen“, sagt Dr. Dantzer. Lieber halb und gesund als ganz krank Bei entzündeten Backenzähnen, die mehrere Wurzeln haben, ist oft nur eine Wurzel betroffen: „In diesem Fall nehmen wir eine sogenannte Hemisektion vor …
Bild: Meerrettich: Gesundes und würziges MultitalentBild: Meerrettich: Gesundes und würziges Multitalent
Meerrettich: Gesundes und würziges Multitalent
… Unternehmen aus dem mittelfränkischen Baiersdorf bei all seinen Produkten Wert: Die Krenwurzeln werden handverlesen, täglich frisch gerieben und im traditionellen Kaltverfahren aromaschonend verarbeitet, um die wertvollen, gesunden Inhaltsstoffe zu erhalten. Süßungsmittel, Geschmacksverstärker oder künstliche Aromastoffe finden sich in den Produkten der …
Sieben Fakten rund um Implantate - Künstliche Zahnwurzeln: Das Wichtigste auf den Punkt gebracht
Sieben Fakten rund um Implantate - Künstliche Zahnwurzeln: Das Wichtigste auf den Punkt gebracht
… er die sieben wichtigsten Fakten rund um die künstlichen Zahnwurzeln. 1) Bewährt Bereits seit über 45 Jahren setzen Zahnärzte ihren Patienten Implantate ein. Gegenüber anderen Verfahren weist der bewährte Zahnersatz viele Vorteile auf. „Wir beschleifen beim Setzen künstlicher Wurzeln keine gesunden Zähne, die an eine Lücke angrenzen“, erläutert Milan …
Das Übel an der Wurzel packen
Das Übel an der Wurzel packen
… Wie auch bei Wurzelbehandlung wird im Anschluss der gesamte Bereich der Wurzelkanäle gesäubert, desinfiziert und verschlossen, um neue Entzündungen zu vermeiden. "Was gesund ist, sollte auf jeden Fall erhalten bleiben", sagt Dr. Martin Kaminsky, Ihr Zahnarzt Waidmannslust (http://www.dentaltotal.de/). Dieser medizinische Grundsatz gilt natürlich auch …
Sie lesen gerade: Gesund bis in die Wurzel – moderne Verfahren machen es möglich