(openPR) Viele haben das schon erlebt. Man spricht mit jemanden, und je näher dieser einem kommt, umso unangenehmer wird die Unterhaltung. Warum? Schlechter Atem, fieser Mundgeruch. Wie vermeidet man diesen?
------------------------------
Saarlouis, 21.02.2020 - Effektive Behandlung gegen Mundgeruch (https://www.zahnaerztesaarland.de/frueherkennung-einer-parodontitis.htm)
Mundgeruch und schlechter Atem sind unangenehm. Oft bemerken Betroffene es gar nicht, und das soziale Umfeld meidet das schwierige Thema lieber, geht aber trotzdem auf Distanz. Dazu kann es neben kurzfristigem Mundgeruch nach dem Verzehr von Knoblauch, Zwiebeln oder Alkohol auch zu anhaltendem, schlechtem Atem kommen, der sich zu chronischem Mundgeruch entwickelt. Dieser kann sogar ein Symptom für bestimmte Krankheiten sein.
Was sind die Ursachen für Mundgeruch?
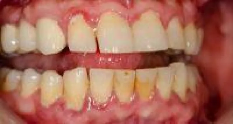
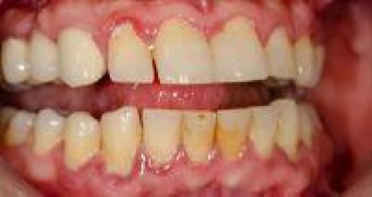
Die Hauptursache für Mundgeruch und schlechten Atem sind Bakterien. Davon gibt es in unserem Mund aufgrund der guten Lebensbedingungen sehr viele. 800-1000 sind im Mundraum beheimatet. Bei der Nahrungsverwertung setzen diese häufig Schwefelverbindungen, Polyamine und Fettsäuren frei. Besonders geruchsaktiv sind dabei die leicht flüchtigen Schwefelverbindungen. Die Mikroorganismen, die dafür sorgen, treten auch bei Entzündungen wie Parodontitis im Mundraum vermehrt auf. Daher kann schlechter Atem ein Symptom für Entzündungen sein.
Aber auch Fäulnisprozesse von Essensresten in den Zahnzwischenräumen produzieren unangenehme Gerüche. Ein trockener Mund verstärkt all diese Prozesse, denn normalerweise hält der Speichel den gröbsten Teil der Zähne sauber. So entfernt er Essensreste, Pilzsporen und Bakterien, die dann einfach heruntergeschluckt werden. Das erklärt auch den oft schlechten Mundgeruch morgens nach dem Aufstehen. In der Nacht geht die Speichelproduktion zurück und man schluckt weniger.
Ein feuchter Mundraum hilft nicht nur beim Sprechen, sondern schützt auch die Zähne. Denn besonders aggressive Bakterien können zusammen mit Zucker reagieren und Karies entstehen lassen. Zudem wirkt Speichel antibakteriell und schützt so vor möglichen Entzündungen.
Die richtige Mundhygiene
Schlechter Atem hat, nicht wie häufig angenommen, seine Ursache im Magen, sondern hauptsächlich im Mund selbst. Hier können dann teilweise auch mit Kaugummis oder Eukalyptus-Bonbons zumindest kurzfristig die Ursachen für schlechten Atem bekämpft werden. Viel wichtiger ist aber eine korrekte Mundhygiene (https://www.zahnaerztesaarland.de/frueherkennung-einer-parodontitis.html). Putzen Sie am besten morgens nach dem Frühstück und abends nach der letzten Mahlzeit die Zähne. Aber auch die Zahnzwischenräume nicht vergessen und Zahnseide benutzen, denn dort sammeln sich häufig Essensreste, die man mit der Zahnbürste nicht entfernen kann.
Auch die Zungenreinigung gehört zur optimalen Mundhygiene. Hier sammeln sich besonders viele Bakterien, die nicht vom Speichel weggespült werden können. Dazu gibt es spezielle Zungenbürsten oder Zungenreiniger und auch Mundwasser kann hier hilfreich sein. Für die korrekte Mundpflege sprechen Sie am besten mit Ihrem Zahnarzt.
Chronischer Mundgeruch
Die genaue Ursache als Laie zu finden und sogar zu beseitigen ist natürlich sehr schwierig. Schlechter Atem und Mundgeruch kann viele Ursachen haben. Ein Gang zum Zahnarzt hilft aber auf jeden Fall. Deswegen achten Sie neben der guten Mundhygiene auch darauf, dass sie den Zahnarzt ihres Vertrauens oft genug aufsuchen, um Karies oder eine beginnende Parodontitis rechtzeitig zu erkennen. Die Praxis für ästhetische Zahnmedizin von Dr. Julian Jankowski in Saarlouis ist unter anderem auf Früherkennung und Beseitigung der genannten Ursachen für Mundgeruch spezialisiert. Hier wird Ihnen in jedem Fall geholfen, und sie können lästigen oder sogar gefährlichen Problemen vorbeugen.
------------------------------
Pressekontakt:
Praxis für ästhetische Zahnmedizin
Herr Julian Jankowski
Schulstraße 22
66740 Saarlouis
fon ..: 06831-98614-0
web ..: http://www.zahnaerztesaarland.de/
email :










