(openPR) Implantate zum Ersatz verloren gegangener Zähne sind in der Zahnheilkunde ein fester Bestandteil der Therapie geworden. Die Entwicklungen der letzten Jahre gehen dahin die Vorhersehbarkeit der Eingriffe zu verbessern und Verfahren zu entwickeln, welche die Patienten weniger belasten. Die minimal invasive Chirurgie kommt auch in der Implantologie an. Einen wesentlichen Beitrag dazu leistet die computerbasierte Navigation, die auch in anderen Bereichen der Chirurgie wie z. B. der Neurochirurgie wesentliche Fortschritte erbracht hat.
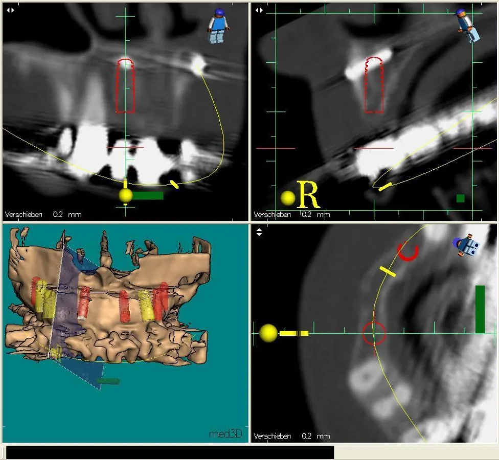
Der Leiter der Zahnklinik Amedis Dr. Dr. Ernst Heissler war in seiner Zeit an der Charité Berlin der klinische Koordinator im Forschungsschwerpunkt medizinische Navigation und Robotik. Damit gehört er zu den ersten Anwendern von computerbasierten Navigationssystemen in der Implantologie. Mit diesen Systemen können Operationen wesentlich schonender und sicherer durchgeführt werden, weil der Chirurg vor dem Eingriff am Computer an einem virtuellen Modell die Lage der Implantate festlegen kann. Wie in einem Computerspiel könne verschiedene Positionen und Längen der Implantate am Bildschirm ausprobiert werden bis ein optimales Ergebnis erreicht ist. Das passiert ohne dass der Patient auch nur anwesend sein muss. Während des Eingriffes wird der Chirurg von einer Bohrschablone präzise geführt. Alle Parameter wie die Lage, Richtung, Länge und Stärke des Implantates werden schon vor dem Eingriff definiert. Für den Patienten bedeutet das, dass der Eingriff schneller und schonender durchgeführt werden kann, da der Chirurg gewissermaßen mit Röntgenaugen durch die Schleimhaut und den Knochen hindurchblicken kann.
Eine optimale Anwendung dieser Technik ist nur gewährleistet, wenn Chirurg, Zahnarzt, Zahntechniker und der Radiologe, der die Bilder für die Computerrekonstruktion der Kiefer herstellt optimal zusammen arbeiten. Deshalb wurde an der Implantatklinik Amedis in Augsburg eine Kooperation zwischen diesen Leistungserbringern vereinbart. Um den Service abzurunden sind an dem Netzwerk auch Narkoseärzte beteiligt. Damit kann auch Patienten geholfen werden, die gar nichts von der Implantation mitbekommen wollen.
Im Ergebnis führen diese modernen computerbasierten Verfahren zu einer erhöhten Vorhersagbarkeit des Operationsergebnisses, einer gesteigerten Sicherheit während der Operation und zu einer geringeren Belastung des Patienten durch die Operation.









